Conceito: As glândulas salivares tanto maiores como menores podem ser acometidas por doenças de etiologia distinta em especial por alterações infecciosas/inflamatórias, alterações de retenção ou de extravasamento de muco e neoplasias (benignas e malignas).
Conceito: É uma lesão comum da mucosa oral resultante da ruptura de um ducto de glândula salivar seguido do extravasamento de saliva (muco) para dentro dos tecidos moles adjacentes. Ocorre uma reação inflamatória, formando um tecido de granulação que circunscreve o muco.
Descrição microscópica:
Cavidade contendo muco (saliva) circundada por tecido de granulação (vasos novos, fibroplasia e inflamação crônica). Vários macrófagos espumosos e algumas células inflamatórias estão presentes no interior da cavidade entremeadas com o muco. Podem ser observados fragmentos de glândulas salivares menores adjacentes a lesão.
Dados importantes para o diagnóstico:
- Presença de muco (material amorfo róseo) no interior da cavidade;
- Macrófagos espumosos;
- Tecido de granulação com quantidade variável de células inflamatórias principalmente linfócitos circunscrevendo o muco;
- Glândula salivar adjacente a mucocele.



Conceito: São cistos que resultam do acúmulo de saliva (muco) no interior do ducto excretor de uma glândula. Isto ocorre pela dificuldade ou impossibilidade de drenagem, determinada pela obstrução ou rompimento do canal excretor.
Descrição microscópica:
Observa-se fragmento de mucosa bucal revestido por epitélio estratificado pavimentoso ceratinizado. Na lâminas própria nota-se a alteração que se caracteriza por ducto excretor dilatado com presença de retenção (acúmulo) de muco no interior do ducto. Em maior aumento pode ser notado que o revestimento epitelial apresenta células com diferenciação mucosa. Na área de acumulo de muco observa-se material hialino amorfo (muco) com inúmeras células inflamatórias predominantemente neutrófilos. Na porção mais externa do revestimento epitelial o tecido conjuntivo circunjacente apresenta focos de infiltrado inflamatório crônico.
Dados importantes para diagnóstico:
- Ducto excretor dilatado contendo acúmulo de muco (saliva- material eosinofílico amorfo) no interior;
- Presença de células inflamatórias ( muitos neutrófilos ) entremeadas com o muco;
- Observar o tecido epitelial do ducto excretor com presença de células mucosas;
- No tecido conjuntivo em volta nota-se leve infiltrado inflamatório de linfócitos e plasmócitos.



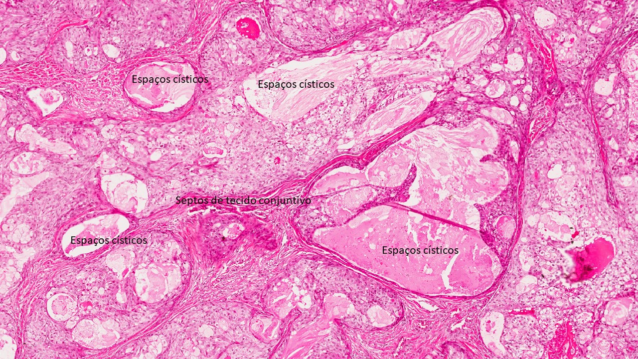
Conceito: É a neoplasia de glândula salivar mais comum. Trata-se de uma neoplasia benigna de origem epitelial composta por células que demonstram diferenciação epitelial e mesenquimal. O nome pleomórfico se deve justamente pela diversidade de arranjos arquiteturais, estruturais e variações de celularidade por vezes em um mesmo tumor (diferentes arranjos morfológicos). Antigamente, era chamado de tumor misto, por apresentar componente epitelial e mesenquimatoso. Histologicamente, o AP se caracteriza pela proliferação neoplásica benigna de células epiteliais e mioepiteliais das glândulas salivares. Estas se arranjam em ninhos, cordões, espaços pseudo-cisticos (túbulos), lençóis celulares e estruturas ductiformes com duas camadas celulares, uma mais internamente do tipo epitelial, e outra, externamente, do tipo mioepitelial.
Descrição microscópica:
Fragmento de mucosa bucal revestida por epitélio estratificado pavimentoso que exibe na lâmina própria um extenso crescimento tumoral não encapsulado. O tumor é composto por uma mistura de epitélio glandular, células mioepiteliais com estroma variado. Geralmente o epitélio forma ductos, túbulos, ilhas e cordões celulares. As estruturas ductais mostram 2 camadas de células (externa/mioepiteliais e interna/epiteliais), com lúmen bem definido e contendo material eosinofílico. Células escamosas produtoras de ceratina também podem ser observadas. As células mioepiteliais compõem uma grande porcentagem das células tumorais e exibem uma morfologia variável, podendo apresentar-se principalmente com aspecto estrelado, fusiformes e plasmocitóide. As células mioepiteliais podem revestir espaços pseudocisticos. O estroma tumoral mostra-se variável sendo principalmente hialino, mixóide e gorduroso.
Dados importantes para diagnóstico:
- Obsevar as células mioepiteliais (fusiformes, estreladas, plasmocitóides) formando lençóis, ilhas, cordões;
- Estruturas ductais mostrando 2 camadas de células (externa/mioepitelial e interna/ductal) contendo material eosinofilico no interior;
- Pseudocistos revestidos por células mioepiteliais;
- Estroma mixóide, hialino e adiposo.




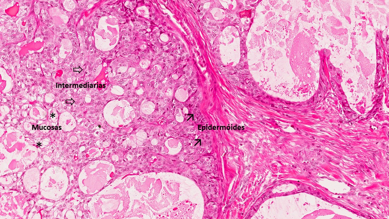
Conceito: É uma das neoplasias malignas de glândula salivar mais comum sendo considerada em alguns estudos a mais prevalente. Histologicamente, os carcinomas mucoepidermóides apresentam proporção variada de células mucosas, células epidermóides e intermediárias. As células mucosas variam na forma e contêm citoplasma espumoso abundante que se cora positivamente por mucina (PAS e mucicarmin). As células epidermóides têm forma frequentemente poligonal, pontes intercelulares e, raramente, ceratinização. Já as células intermediárias são de formato basalóide A quantidade de cada tipo celular e o arranjo arquitetural (cístico e sólido) varia dentro de uma mesma neoplasia e influencia o grau de malignidade e o comportamento biológico da lesão. Essa neoplasia é usualmente multicística, com áreas de arranjo sólido. Os espaços císticos são revestidos por células mucosas, células intermediárias cuboidais dispersas e células epidermóides poligonais que raramente formam.
Descrição microscópica:
Nota-se proliferação tumoral formando espaços císticos e áreas sólidas. O tumor exibe uma mistura de células produtoras de muco (mucosas), células escamosas (epidermoides) e intermediárias. As células mucosas apresentam formato variado, mas contêm um abundante citoplasma espumoso e claro. As células epidermóides possuem formato poligonal. Pode-se observar um terceiro tipo de célula, a célula intermediária.
Dados importantes para diagnóstico:
- Observar as células claras produtoras de muco que são as células mucosas;
- Células mioepiteliais mais coradas com formato poligonal.



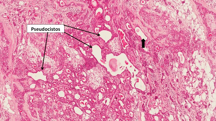
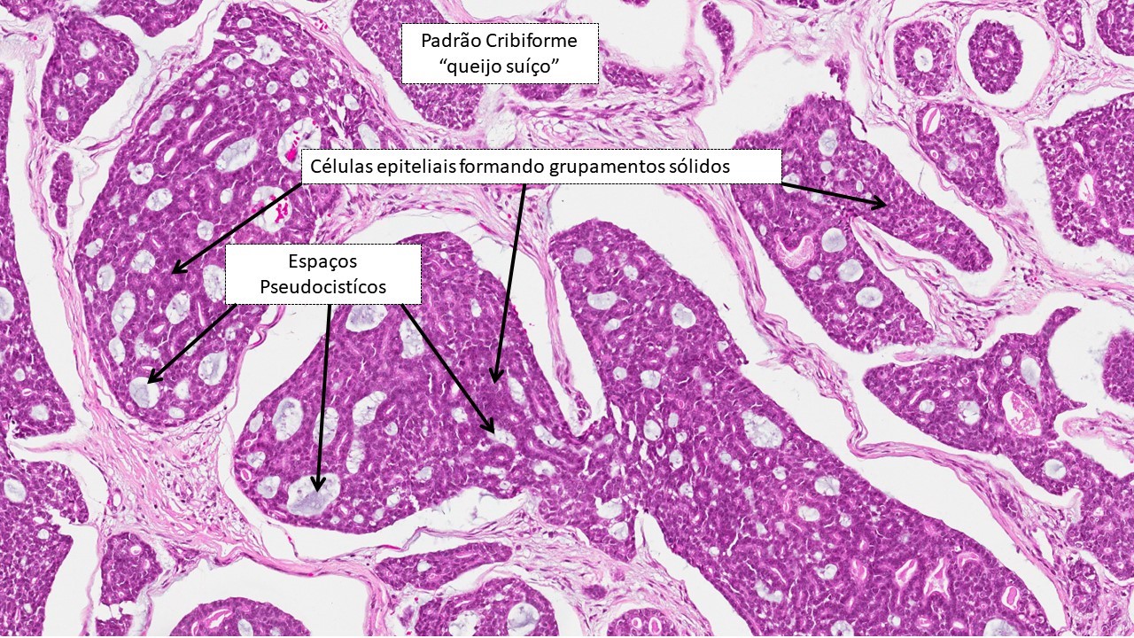
Conceito: É considerada uma das neoplasias malinas mais comuns de origem em glândulas salivares. O carcinoma adenóide cístico (CAC) é definido pela OMS como uma neoplasia basalóide que se caracteriza pela presença de células epiteliais e mioepiteliais com vários arranjos morfológicos, incluindo o padrão tubular, cribriforme e sólido. Uma das características histológicas do tumor é a invasão dos espaços perineurais.
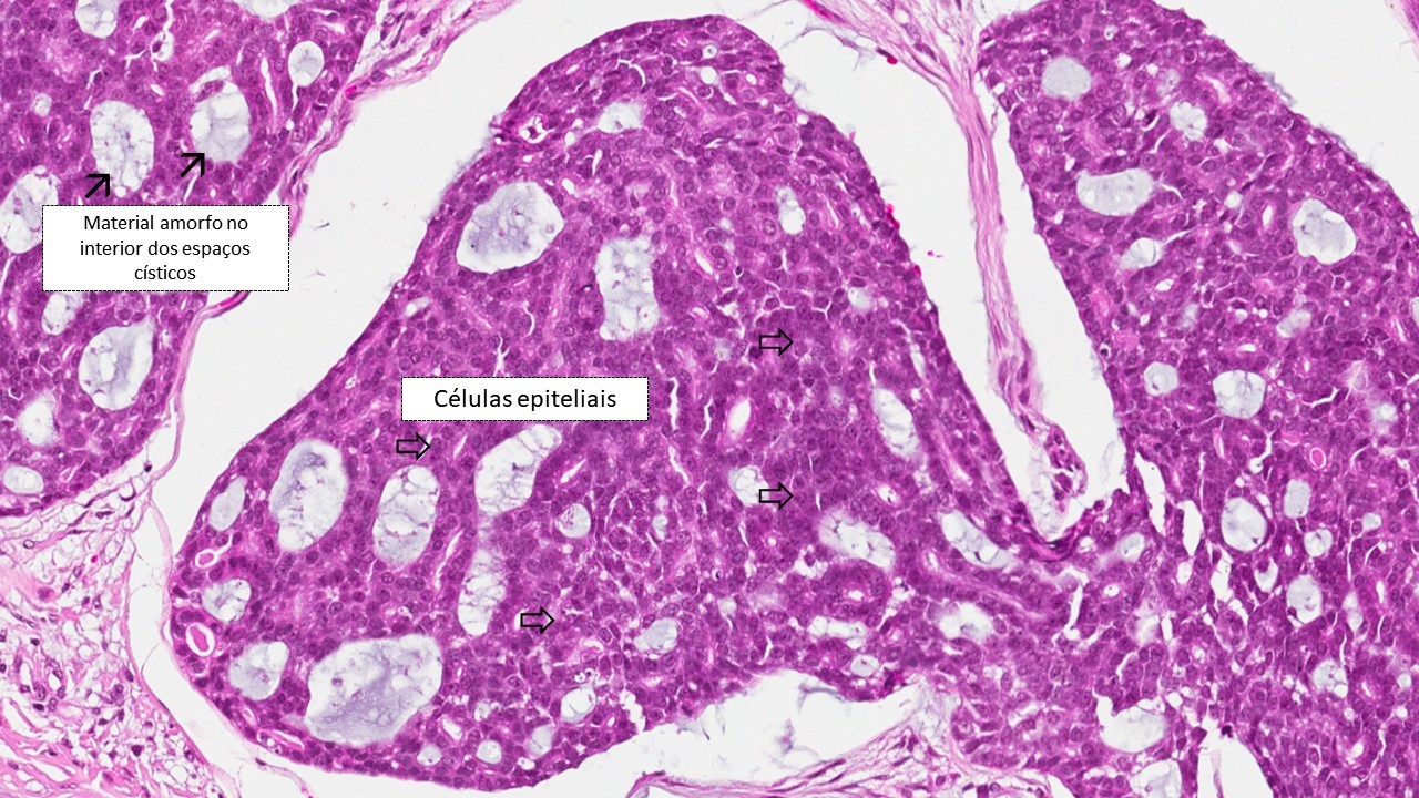
Descrição microscópica:
Fragmento de mucosa bucal revestido por epitélio estratificado pavimentoso ceratinizado. Em profundidade, na lâmina própria, observa-se a proliferação neoplásica maligna caraterizada por grupos de células pequenas, com núcleo hipercromático e citoplasma escasso, delimitando espaços císticos cilindromatosos.
Dados importantes para diagnóstico:
- Células epiteliais de aspecto basaloide (células pequenas, com núcleo hipercromático e citoplasma escasso);
- Espaços císticos cilíndricos com presença de mucóide e/ou hialinizado;
- O padrão cribriforme é a variante mais comum e se caracteriza por ilhas de células neoplásicas pequenas e cuboidais de aspecto basalóide, mostrando um núcleo angulado, pequeno, escuro, com citoplasma escasso, delimitando espaços císticos cilindromatosos. Entre os elementos epiteliais dispõe-se um estroma conjuntivo, por vezes hialinizado, conferindo o aspecto de cilindro.


