Conceito:
Complexo Dentina-Polpa: A polpa é o tecido conjuntivo vascularizado que ocupa a parte central do dente, cuja função principal é manter a vitalidade da dentina e, consequentemente, do dente. A polpa e a dentina formam um único complexo, pois estão intimamente relacionadas morfologicamente e fisiologicamente.
Classificação
As patologias pulpares podem ser classificadas em:
A inflamação pulpar pode ser iniciada por processos cariosos ou contatos prematuros (trauma oclusal). Após a ação do agente agressor ocorre, inicialmente, uma reação inflamatória incipiente que se caracteriza pelo aumento do aporte sanguíneo no tecido pulpar sendo este quadro denominado de hiperemia pulpar.
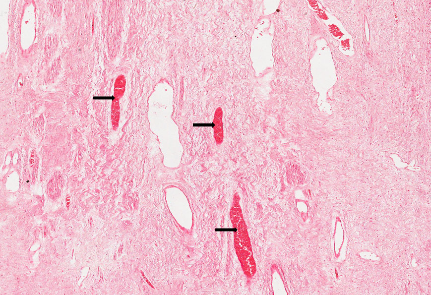
Corte histológico de dente com rizogênese incompleta, onde podemos observar a dentina externamente (Seta A) e a polpa na porção central (Seta B). Nota-se aumento do número de vasos funcionantes (Setas pretas) sendo que, alguns estão preenchidos por hemácias caracterizando a hiperemia. Na margem podemos observar a camada odontoblástica descontínua, mostrando vacúolos que caracterizam a atrofia reticular (tracejado preto). A polpa se apresenta como um tecido conjuntivo fibroso pouco celularizado, outra característica da atrofia reticular.
Observar o aumento de número de vasos na polpa, caracterizando hiperemia pulpar, e perda da disposição em paliçada característica da camada odontoblástica levando ao aparecimento de espaços vazios (vacúolos), que definem a presença da atrofia reticular. Além disso observamos a polpa mais fibrosa e menos celularizada.
Hiperemia Pulpar e Atrofia Reticular
Obs: É importante distinguir entre hiperemia e neoformação vascular (angiogênese). Na hiperemia, as células endoteliais são achatadas, enquanto na neoformação vascular estas são mais arredondadas.
Obs: Lâmina confeccionada por descalcificação, por isso não se visualiza o esmalte dentário.


Se caracteriza pela exposição da polpa ao meio bucal. Os dentes exibem câmara pulpar aberta o que possibilita a drenagem de exsudato para o exterior e consequentemente a dor é mínima ou inexistente. Na camada superficial são observados neutrófilos e piócitos. Na parte mais profunda da polpa, observa-se macrófagos, linfócitos e plasmócitos.
A reabsorção radicular interna é um processo relativamente raro representado pela remoção de tecido mineralizado da face interna da cavidade pulpar pela ação de células gigantes multinucleadas (odontoclastos). Estas células se misturam ao tecido de granulação que substitui o tecido pulpar quando há um processo inflamatório crônico.
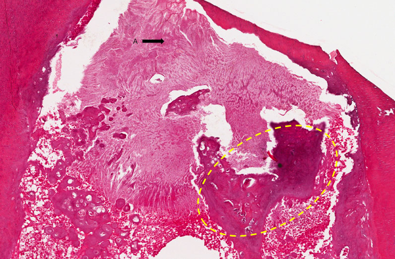
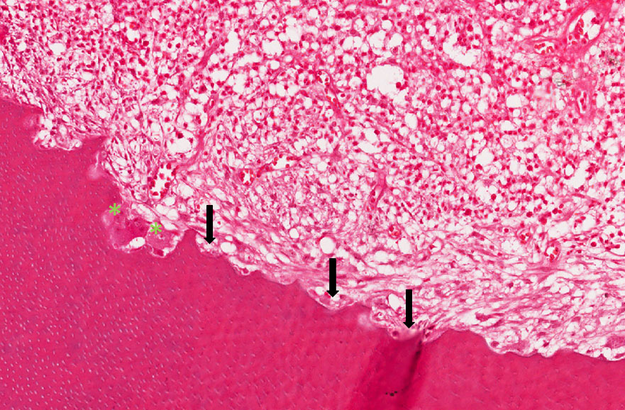
Corte histológico de dente decíduo, mostrando câmara pulpar aberta e recoberta parcialmente por material restaurador (capeamento) (Seta A). Nota-se pequena área de exposição pulpar. Abaixo do material de capeamento, observa-se formação de dentina terciária (osteodentina) (tracejado amarelo) e piócitos (supuração) (asteriscos amarelos) o qual se concentra na área mais superficial. No restante da polpa, observa-se intenso infiltrado inflamatório com predomínio de macrófagos espumosos. Na dentina da porção radicular, pode ser identificada reabsorção interna evidenciada pela ausência da camada de odontoblastos e de pré-dentina associada a presença de células clásticas na interface dentina-polpa, sendo estas as responsáveis pela reabsorção da dentina. Observamos também áreas de reabsorção externa e reabsorção externa compensada.
Observar a cavidade aberta (área de ulceração) material restaurador, formação de dentina terciária, área de supuração e intenso infiltrado inflamatório com predomínio de macrófagos e linfócitos. Em algumas áreas observa-se reabsorção da raiz com presença de clastos (asteriscos verdes) em contato com a dentina radicular (lacunas de Howship – setas pretas) tecido pulpar inflamado.
Obs: Dependendo do plano de corte, o diagnóstico pode variar entre as lâminas. Se a polpa estiver aberta, definimos o diagnóstico como pulpilte ulcerada (ulcerativa). Se houver material recobrindo a polpa, determinando coleção (acúmulo de pus) na câmara pulpar, o diagnóstico a ser dado é pulpite abscedada. Na lâmina escaneada temos uma pulpite aberta – ulcerada.
Pulpite Ulcerada e Reabsorção Interna e Externa



Em situações onde o teto da câmara pulpar está fechado e o agente agressor não for removido ou tiver maior capacidade lesiva (mais intenso) a polpa responderá com uma reação inflamatória. Inicialmente, esta reação inflamatória se forma na zona odontogênica (camada odontoblástica e zona acelular) sendo denominado de pulpite infiltrativa parcial. No momento em que o exsudato inflamatório progride para a polpa central tem-se o estabelecimento da pulpite infiltrativa total. Esses quadros de pulpite infiltrativa podem ser agudos ou crônicos. Os quadros agudos estão associados a agentes agressores de maior intensidade e formação de exsudato inflamatório em maior quantidade o que gera dor. As pulpites infiltrativas crônicas decorrem de estímulos de baixa intensidade e, portanto, a resposta inflamatória tem menor quantidade de exsudato e não há dor. Se levarmos em consideração a classificação clínica este tipo de inflamação é denominada de pulpite fechada. Enquanto que, de acordo com a classificação terapêutica/prognóstica dependendo dos casos teremos situações reversíveis ou irreversíveis.
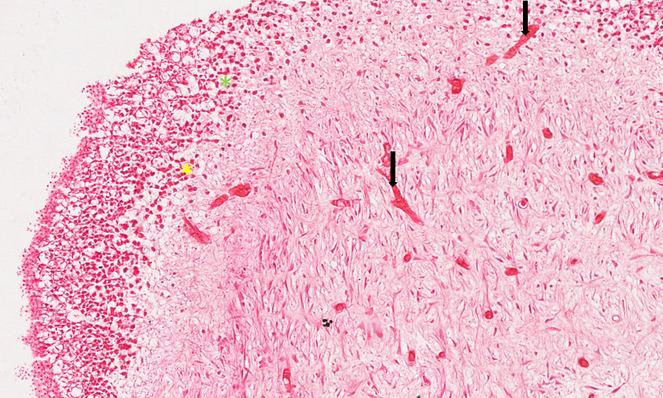
Corte histológico de dente com rizogênese incompleta, onde podemos observar a dentina externamente e a polpa na porção central. A inflamação pulpar é caracterizada pela presença de hiperemia, vasodilatação, associada à formação de exsudato inflamatório.
Observar o aumento de número de vasos na polpa (setas pretas), exsudato inflamatório com células inflamatórias especialmente linfócitos (asterisco amarelo), plasmócitos (asterisco verde) e macrófagos.
