Ir para Página Inicial

8 Patologia Periodontal

Conceito:

As reações inflamatórias e imunológicas à placa bacteriana (biofilme) representam as características predominantes da gengivite e da periodontite. A reação inflamatória é visível, microscópica e clinicamente, no periodonto afetado e representa a reação do hospedeiro à microbiota da placa existente.

As doenças periodontais representam infecções dinâmicas causadas por associação de vetores microbianos que variam com o passar do tempo.

Classificação: Nesta aula vamos estudar as degenerações com maior relevância para o cirurgião dentista.

8.1 Gengivite

Conceito

Inflamação que acomete o periodonto de proteção. O principal agente etiológico é o acumulo de biofilme supra gengival e a patogenia envolve a reação inflamatória/imunológica que causa destruição das fibras gengivais e alteração (hiperplasia ou ulceração) do epitélio sulcular e juncional.

Descrição

Fragmento de dente descalcificado, onde se observa polpa, dentina e cemento. Na porção coronária temos o espaço em branco que era ocupado pelo esmalte e que foi perdido durante o processo de descalcificação. Em menor aumento pode-se notar que o nível ósseo está próximo à altura da junção amelo-cementária (JAC). Em maior aumento, pode ser observado em contato com o esmalte, o epitélio juncional que é um epitélio estratificado pavimentoso não queratinizado com poucas camadas de células. O epitélio sulcular (estratificado pavimentoso não ceratinizado) se encontra hiperplásico devido ao processo inflamatório subjacente. O tecido conjuntivo mostra infiltrado inflamatório predominantemente de linfócitos e plasmócitos e destruição das fibras colágenas gengivais. Focos de edema e hemorragia podem ser notados. A porção correspondente a inflamação encontra-se demarcada pelo traço preto. Observar em maior aumento a integridade das fibras colágenas periodontais inserindo o dente no tecido ósseo e a integridade do tecido ósseo Figura 1).

Dados importantes para o diagnóstico

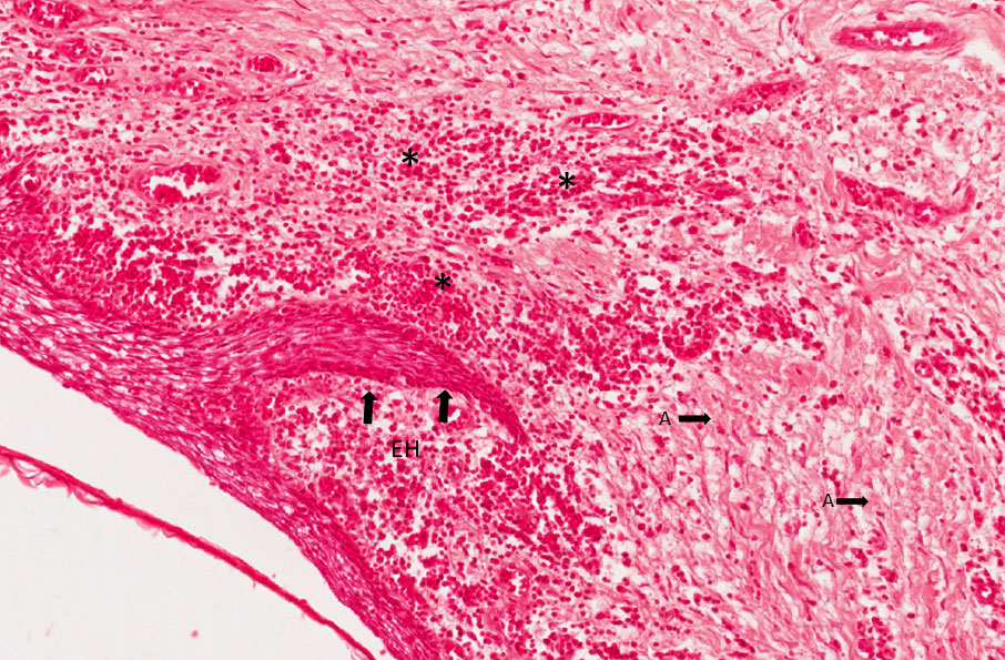
Observar a JAC integra, sem diminuição da crista óssea, tecido epitelial hiperplásico (EH - Figura 2), e eventos inflamatórios como as células (asteriscos – Figura 2), edema, hemorragia e hiperemia. Na área ocupada pelo infiltrado inflamatório crônico as fibras gengivais estão destruídas e no entorno observa-se algumas intactas (seta A – Figura 2).

Diagnóstico

Gengivite.

Figura 1
Figura 2

8.2 Periodontite

Conceito

Inflamação que afeta o periodonto de inserção e pode levar a sua destruição. O processo inflamatório é causado por biofilme subgengival e pode ser modulado por fatores locais, sistêmicos e genéticos.

Descrição

Fragmento de dente onde aparece polpa, dentina, cemento exposto e nível ósseo inferior a JAC. Pode ser notada a presença de bolsa periodontal revestida parcialmente pelo epitélio da bolsa que se encontra hiperplásico (Figura 3). No tecido conjuntivo podem ser observados eventos inflamatórios como hiperemia, infiltrado inflamatório de linfócitos e plasmócitos (Traço preto - Figura 3).

Dados importantes para o diagnóstico

Presença de bolsa periodontal com epitélio da bolsa mostrando hiperplasia (EH – Figura 4). Inflamação crônica afetando o periodonto de inserção com predomínio de linfócitos e plasmócitos (asteriscos – Figura 4). Diminuição da crista óssea alveolar indicando reabsorção óssea e ausência de fibras do ligamento periodontal aderidas ao cemento exposto Figura 3).

Diagnóstico

Periodontite

Figura 3
Figura 4