Conceito: Grupo complexo de neoplasias de diversos tipos histológicos e comportamentos clínicos e assim como a odontogênese, demostram variadas interações indutoras entre o epitélio odontogênico e o ectomesênquima odontogênico.
Os ameloblastomas são tumores benignos que se originam do epitélio odontogênico.
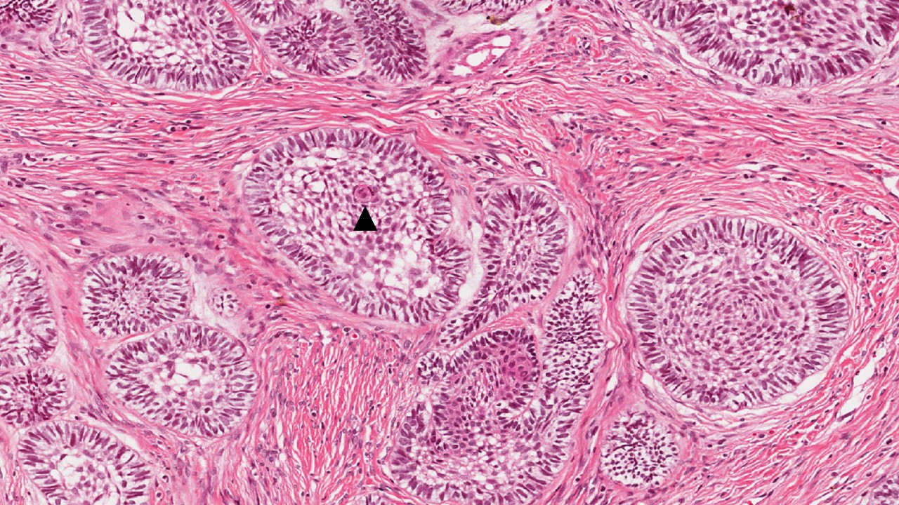
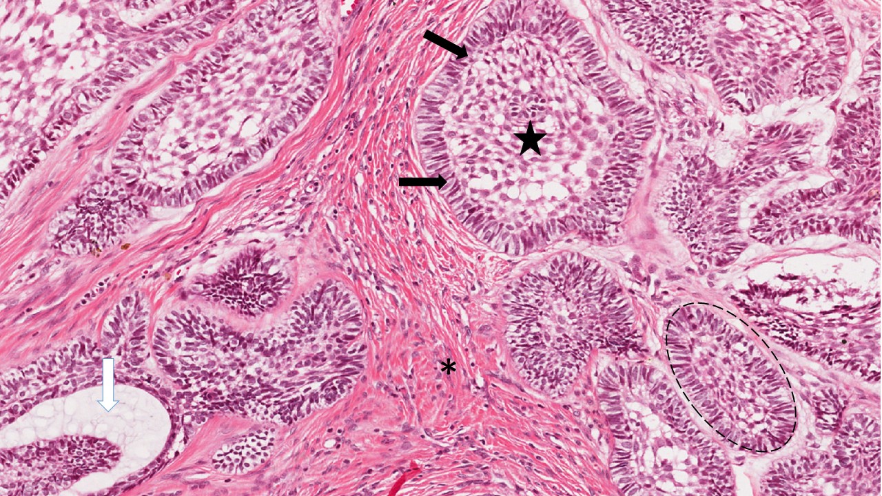
Descrição microscópica:
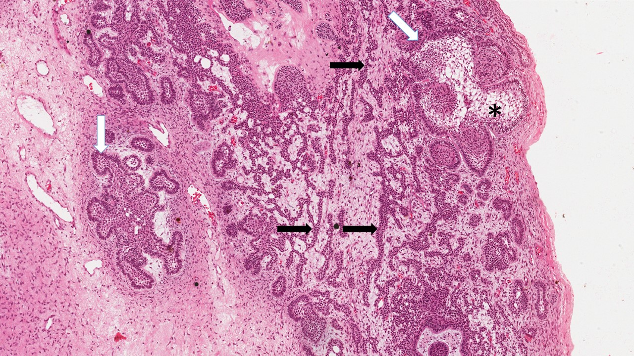
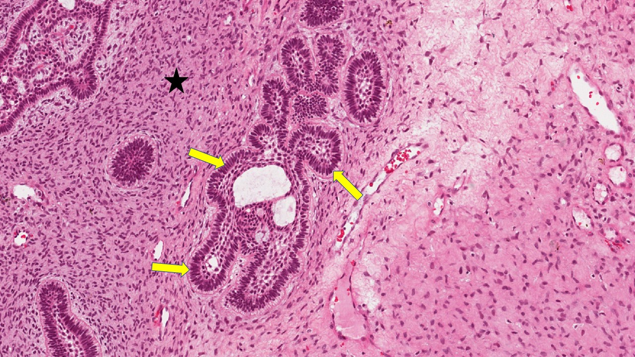
Ilhas de epitélio odontogênico entremeadas por estroma de tecido conjuntivo denso. As ilhas epiteliais consistem em uma região central de células arranjadas frouxamente, lembrando o retículo estrelado de um órgão do esmalte. Na periferia das ilhas nota-se camada de células colunares altas, semelhantes à pré-ameloblastos com núcleo hipercromático e polaridade invertida. Algumas ilhas apresentam metaplasia escamosa e/ou degeneração cística.
Dados importantes para o diagnóstico:
- Ilhas de tecido epitelial odontogênico (área demarcada);
- Células na periferia das ilhas, alongadas (em paliçadas) lembrando pré-ameloblastos (setas pretas);
- Células internas frouxamente arranjadas lembrando retículo estrelado (estrela);
- Tecido conjuntivo denso com aspecto de normalidade (asterisco);
- Metaplasia escamosa (triangulo);
- Degeneração cística (seta branca).


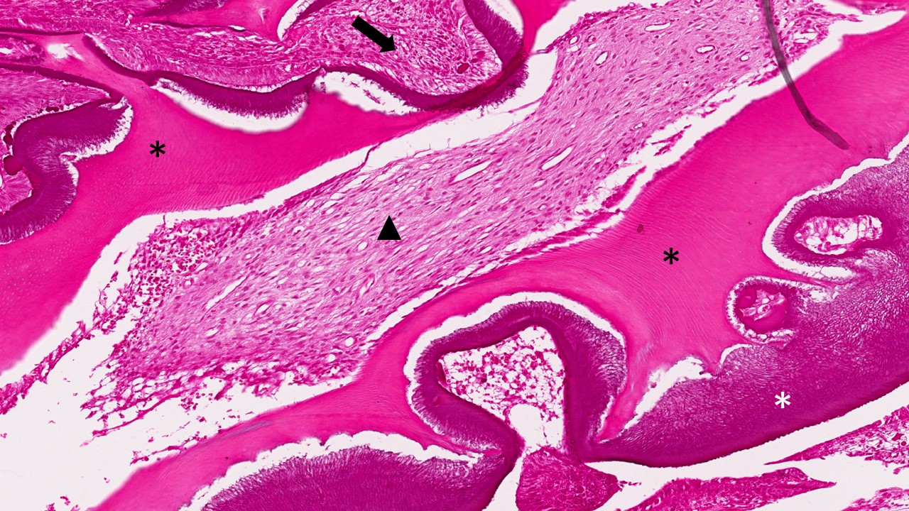
Os odontomas são considerados como anomalias do desenvolvimento (hamartomas). O odontoma complexo consiste em uma deposição desorganizada de tecidos dentários (esmalte, dentina, polpa) que não exibe semelhança anatômica com um dente. No odontoma composto há formação de estruturas que lembram pequenos dentículos com organização do esmalte, dentina e polpa.
Descrição microscópica:
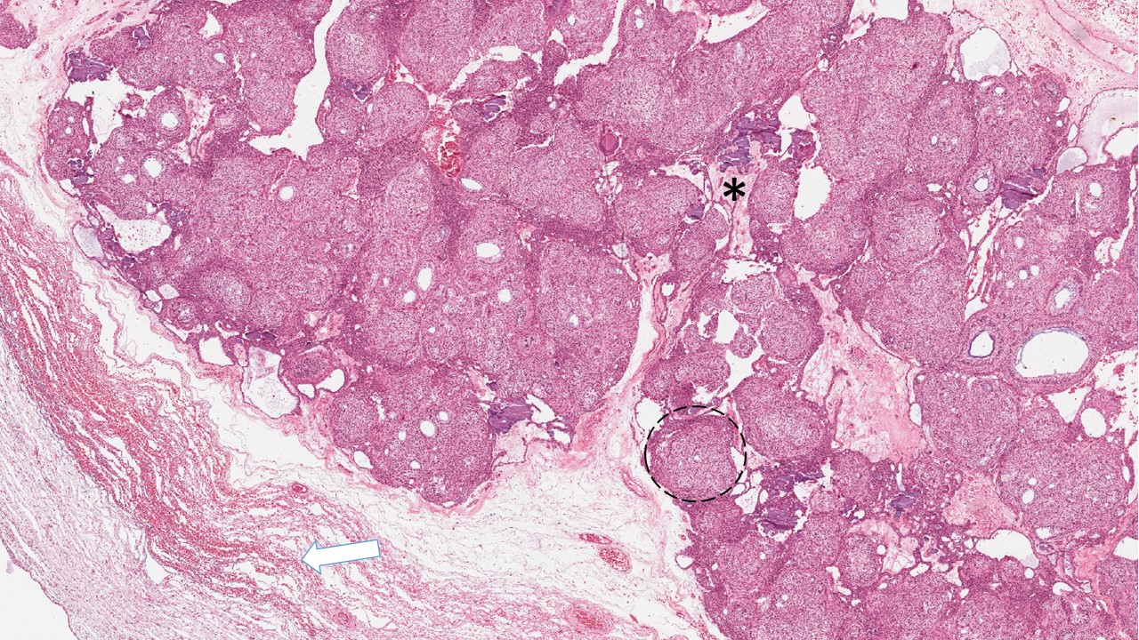
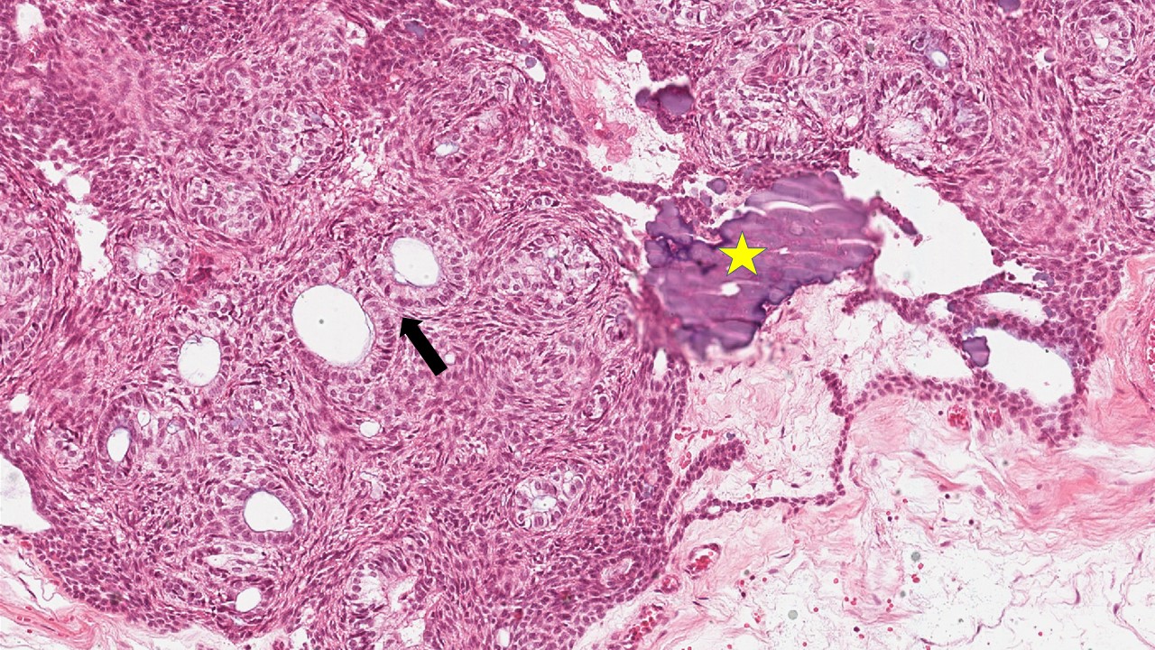
Nota-se grande deposição de tecidos dentários, na maior parte, de dentina com características de dentina tubular madura. Em áreas observa-se fendas ou espaços claros (esmalte maduro que foi removido durante o processo de descalcificação). No interior destes espaços podem ser observadas quantidades pequenas de matriz orgânica de esmalte ou esmalte imaturo. Revestindo essas áreas nota-se células epiteliais odontogências interpretadas como ameloblastos e focos de células epiteliais frouxamente arranjadas lembrando o reticulo estrelado do órgão do esmalte. Tecido conjuntivo lembrando a polpa dentária podem ser identificados mostrando camada de odontoblastos na periferia. Uma delgada camada de cemento com frequência está presente na periferia da lesão.
Dados importantes para diagnóstico:
- Abundância de tecido dentinário (asteriscos pretos);
- Matriz orgânica de esmalte (asteriscos brancos);
- Ameloblastos (setas brancas);
- Células semelhantes à do retículo estrelado (setas pretas);
- Tecido conjuntivo lembrando a polpa dentária com camada odontoblástica (triangulo);
- Espaço do esmalte dentário (perdido na descalcificação)


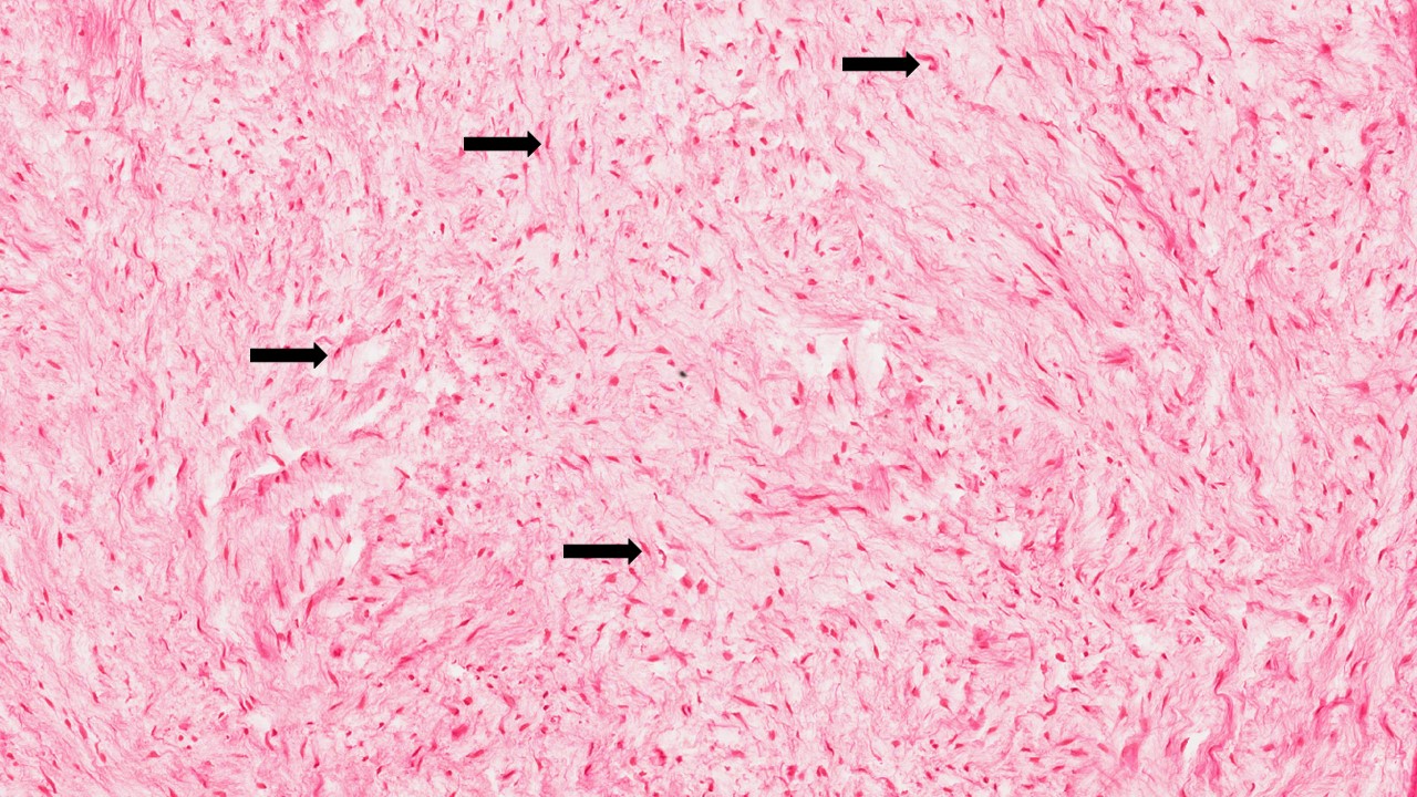
São tumores benignos originados do ectomesênquima odontogênico, exibem uma grande semelhança microscópica com a porção mesenquimal de um dente em desenvolvimento.
Descrição microscópica:
Microscopicamente, o tumor é composto por células mesenquimais de formato estrelado, fusiforme ou arredondado dispostas em um estroma abundante, frouxo e mixóide que contém somente algumas fibrilas colágenas.
Dados importantes para diagnóstico:
- Tecido conjuntivo frouxamente arranjado e organizado com pouco colágeno;
- Fibroblastos fusiformes estrelados neoplásicos (setas).

É considerado como um tumor benigno misto verdadeiro, em que tanto o tecido epitelial quanto o mesenquimal são neoplásicos.
Descrição microscópica:
microscopicamente, o tumor é composto de um tecido mesenquimal rico em células, que lembra a papila dentária primitiva, misturado ao epitélio odontogênico em proliferação. O epitélio odontogênico pode apresentar um padrão de cordões longos e delgados, com frequência anastomosados e/ou um padrão de ilhas de epitélio odontogênico. Em ambos os padrões as células periféricas são colunares altas lembrando pré-ameloblastos e o centro das ilhas apresenta padrão de células epiteliais frouxamente dispostas lembrando o retículo estrelado.
Dados importantes para diagnóstico:
- Cordões de células epiteliais odontogênicas (setas pretas);
- Ilhas de células epiteliais odontogênicas (setas brancas);
- Células periféricas colunares altas empaliçadas (setas amarelas);
- Centro das ilhas lembrando retículo estrelado (asterisco);
- Tecido conjuntivo rico em células com núcleo volumoso e poucas fibras colágenas (estrela).


É um tumor benigno odontogênico epitelial que já foi considerado uma variante do ameloblastoma porém suas características clínicas e comportamento biológico indicam que é uma entidade à parte.
Descrição microscópica:
microscopicamente o tumor está envolvido por cápsula fibrosa, e é composto por células epiteliais fusiformes que formam lençóis, cordões ou aumento de volume espiralados semelhante a rosetas em um estroma fibroso escasso. Estruturas tubulares ou ductiformes são o aspecto característico do tumor e consistem de um espaço central delimitado por uma camada de células colunares ou cúbicas. Focos de calcificação podem ser encontrados em toda lâmina.
Dados importantes para diagnóstico:
- Cápsula fibrosa (setas brancas);
- Estruturas arredondadas de células epiteliais semelhantes a rosetas (área demarcada);
- Estroma escasso (asterisco);
- Estrutura semelhante a ductos com as células periféricas colunares (seta preta);
- Foco de material calcificado (estrela).


é um tumor benigno intimamente associado às raízes dos dentes. Caracterizado formação exagerada de cemento depositada diretamente em uma raiz dentária.
Descrição microscópica:
microscopicamente o cementoblastoma mostra a formação de tecido mineralizado fusionado ao dente. Esse tecido mineralizado apresenta-se como lençóis e trabéculas de material mineralizado com lacunas posicionadas de forma irregular e linhas reversas basofilicas proeminentes. O estroma é composto de tecido fibrovascular celularizado. Na periferia da lesão encontramos matriz menos calcificada e o centro da lesão matriz mais calcificada.
Dados importantes para diagnóstico:
- Tecido mineralizado fusionado ao dente;
- Matriz menos mineralizado na periferia (seta branca);
- Estroma de tecido conjuntivo fibroso celularizado (asteriscos);
- Centro da lesão com matriz mais mineralizada (setas pretas);
- Lacunas onde estão localizados os cementoblastos (setas amarelas).

