Conceito: Alterações circulatórias que acometem a irrigação sanguínea, a hemostasia e o equilíbrio hídrico.
Consiste em um acúmulo anormal de líquido no compartimento extracelular intersticial ou nas cavidades corporais devido ao aumento da pressão hidrostática.
Aumento do volume de sangue dentro do sistema vascular que resulta no aumento do número de vasos funcionantes
Coagulação do sangue (formação de um trombo) dentro do sistema cardiovascular de um indivíduo vivo.
Trombo é o sangue coagulado (solidificado) no interior do vaso sanguíneo.
Saída de hemácias do espaço vascular ou coração para o espaço extra vascular ou para fora do organismo.
Nas lâminas podem ser identificados vários dos distúrbios circulatórios acima descritos.
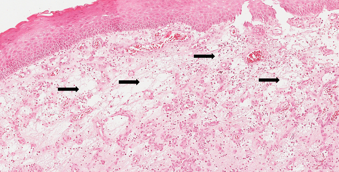
Fragmento de mucosa bucal revestida por epitélio estratificado pavimentoso ceratinizado. No tecido conjuntivo subjacente observa-se intenso edema inflamatório (setas) que se caracteriza por líquido claro contendo proteínas (material amorfo eosinofílico) e células inflamatórias. Notar que o edema (setas) está separando as fibras do tecido conjuntivo. Pode-se observar também aumento do número de vasos funcionantes (hiperemia) e áreas focais de hemorragia.
Acúmulo de líquido rico em células inflamatórias no interstício (fora dos vasos) separando as fibras do tecido conjuntivo. Nas fotos abaixo está ilustrado o edema inflamatório.
Processo inflamatório crônico com agudização.



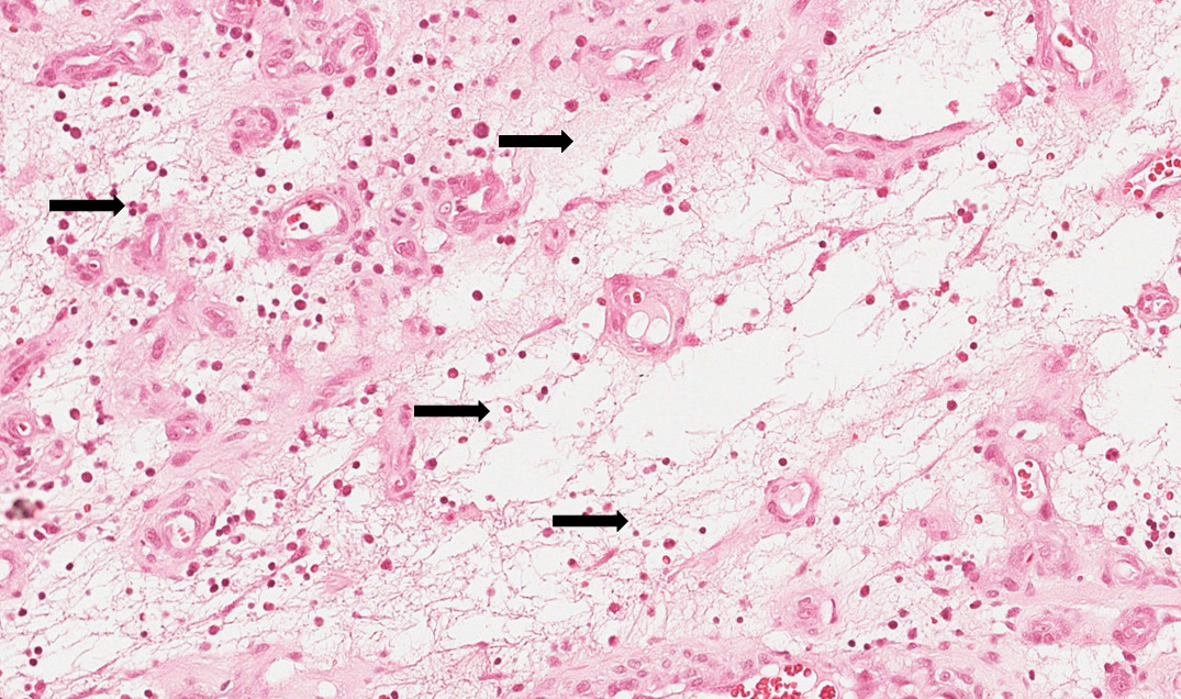
Fragmento de mucosa bucal revestido por epitélio estratificado pavimentoso hiperceratinizado. No tecido conjuntivo subjacente podem ser observados inúmeros vasos sanguíneos funcionantes (setas), de calibre diverso e alguns vasos mostram-se congestos (hiperemia). Edema peri-vascular pode ser notado. Trombose em alguns vasos fazem parte do quadro histológico
Na foto abaixo está ilustrado o quadro de hiperemia.

Granuloma Piogênico
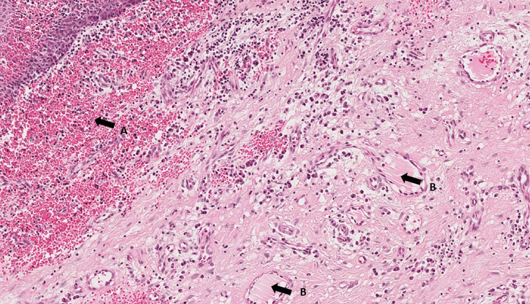
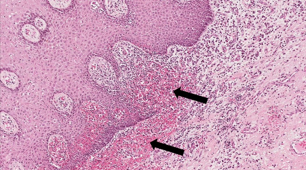
Fragmento de tecido mole revestido por tecido epitelial de revestimento estratificado pavimentoso paraceratinizado. No tecido conjuntivo subjacente podemos observar que alguns vasos contém uma massa rósea eosinófila (degeneração hialina) obstruindo total (trombo oclusivo) ou parcialmente os vasos (trombo mural). Em áreas focais pode ser observado o extravasamento de hemácias caracterizando o quadro de hemorragia assim como, edema inflamatório com predomínio de linfócitos e plasmócitos.
Observar massa rósea obstruindo total (trombo oclusal) ou parcialmente (trombo mural) os vasos.
Nas fotos abaixo estão demonstradas a hemorragia (setas A) e trombose (setas B).

