Nesta aula estudaremos Cisto Odontogênicos e Não Odontogênicos.
Cavidade patológica revestida total ou parcialmente por epitélio contendo no seu interior material líquido ou semifluido revestido por uma cápsula fibrosa. Cistos que se originam de remanescentes epiteliais do desenvolvimento dentário localizados nos ossos maxilares ou tecidos de sustentação dos dentes.
Na Classificação da OMS ( WHO Classification of Head and Neck Tumors) publicada em 2017 os cistos foram classificados da seguinte forma:
Cistos Odontogênicos de Origem Inflamatória
- Cisto Radicular (ver em patologia básica - patologias periapicais)
- Cisto Colateral Inflamatório
Cistos Odontogênicos de Desenvolvimento
- Cisto Dentígero
- Ceratocisto Odontogênico
- Cisto Periodontal Lateral- Cisto Odontogênico Botrióide
- Cisto Gengival
- Cisto Odontogênico Calcificante
- Cisto Odontogênico Ortoceratinizado
Cistos Não-Odontogênicos
- Cisto do Ducto Nasopalatino
- Cisto Nasolabial
- Cisto Epidermóide da Pele
Os cistos Inflamatórios apresentam como fator etiológico a presença de inflamação enquanto que, nos cistos de desenvolvimento a causa não está definida.
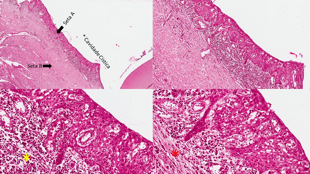
Cisto de desenvolvimento relacionado à coroa de um dente não erupcionado, aderido a junção amelocementária.
Descrição microscópica:
Cisto envolvendo a coroa do dente não irrompido. A cavidade cística está voltada para a coroa (se forma entre a coroa e o tecido pericoronário) e o tecido epitelial que reveste a cavidade apresenta-se estratificado com número variável de camadas de células e não ceratinizado. Em algumas áreas o epitélio encontra-se hiperplasiado (Seta A). Entretanto, originalmente apresenta 2-4 camadas de células. As células epiteliais podem ser células cúbicas, mucosas ou ciliadas. A cápsula de tecido conjuntivo fibroso denso (Seta B) neste caso exibe intenso infiltrado inflamatório linfoplasmocitário (asterisco amarelo) e hemorragia. Pode haver presença de remanescentes odontogenicos.
Dados importantes para o diagnóstico:
- Cavidade cística envolvendo a coroa do dente totalmente incluso;
- Epitélio estratificado pavimentoso não ceratinizado (quantidade variável de camadas);
- Cápsula de tecido conjuntivo fibroso denso;


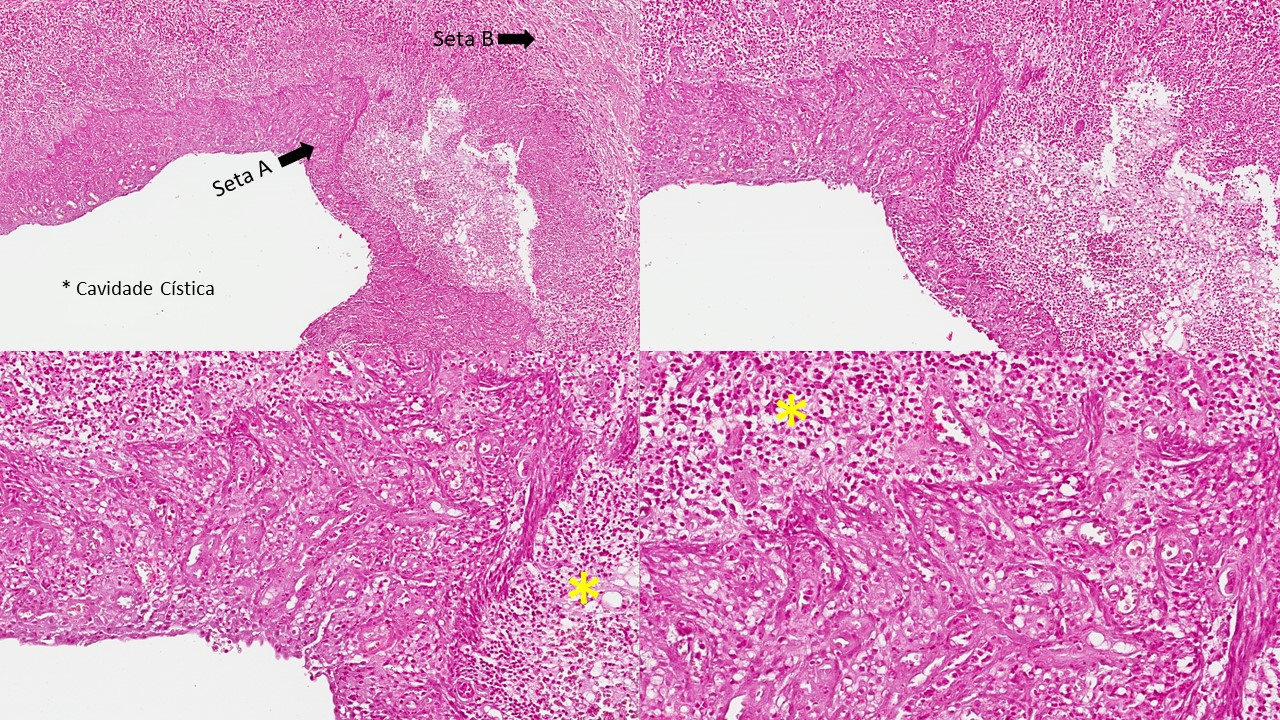
Cisto inflamatório que ocorre na margem cervical, lateralmente à raiz, relacionado com dentes em erupção ou parcialmente erupcionados com acúmulo de biofilme como agente causador da inflamação e estimulo à formação do cisto.
Descrição microscópica:
Cavidade cística contornada por tecido epitelial estratificado pavimentoso não ceratinizado hiperplásico (Seta A). A cápsula de tecido conjuntivo subjacente exibe vasos sanguíneos, hemorragia, infiltrado inflamatório crônico difuso (Seta B).
Dados importantes para diagnóstico:
- Envolvendo a coroa de um dente parcialmente erupcionado;
- Cavidade cística;
- Epitélio estratificado pavimentoso não ceratinizado hiperplásico;
- Tecido conjuntivo fibroso denso contendo vasos sanguíneos, células inflamatórias crônicas (asterisco amarelo) e fibras colágenas que compõem a cápsula fibrosa.


Cisto de desenvolvimento que apresenta características clínicas e histológicas distintas dos demais cistos odontogênicos.
Descrição microscópica:
Cavidade revestida por epitélio estratificado pavimentoso paraceratinizado geralmente com cinco a oito camadas de células de espessura (Seta A). A superfície do epitélio mostra-se corrugada com células achatadas. Por vezes, lâminas de ceratina podem estar sendo destacadas para o interior da cavidade. A camada basal epitelial é composta por células dispostas em paliçada, na maior parte da lâmina de aspecto colunar com núcleos hipercromáticos. A interface entre o epitélio e o tecido conjuntivo é plana. A cápsula fibrosa é delgada (Seta B) com alguns focos de hemorragia. Fraca adesão entre epitélio e conjuntivo (epitélio descola do tecido conjuntivo) (Seta X).
Dados importantes para diagnóstico:
- Tecido epitelial com 5-8 camadas de células sendo a superfície corrugada e paraceratinizada;
- Células da camada basal alongadas e hipercromáticas, em paliçadas (asterisco amarelo);
- Interface plana entre epitélio e conjuntivo, fraca adesão entre epitélio e conjuntivo;
- Cápsula de tecido conjuntivo fibroso em áreas mais frouxamente arranjado (asterisco vermelho);



Cavidade patológica revestida total ou parcialmente por epitélio contendo no seu interior material líquido ou semi-fluído envolto por uma cápsula fibrosa. Nestes cistos, o epitélio deriva de remanescentes de epitélio da formação da face não relacionado com a odontogênese. A etiologia é desconhecida.
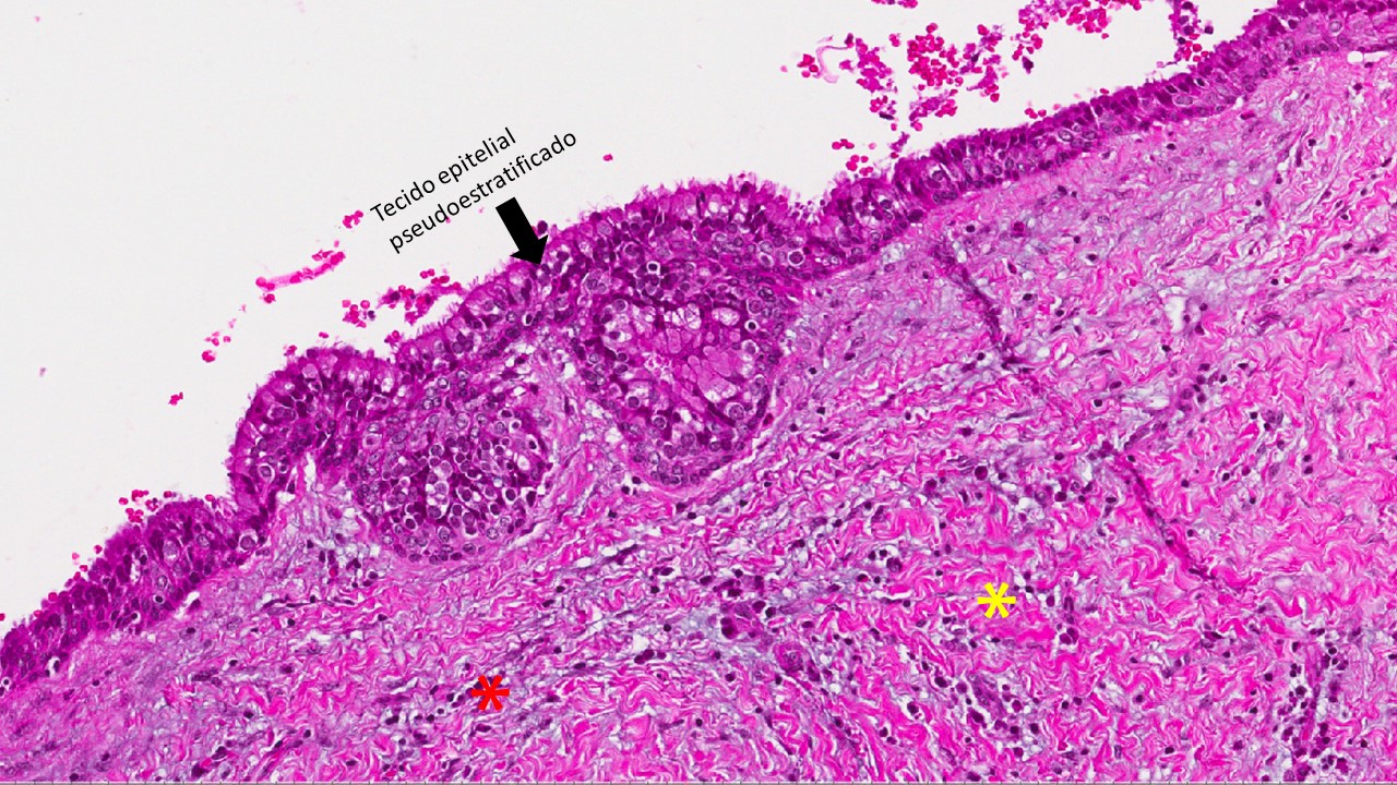
Cisto não-odontogênico que se origina dos remanescentes do ducto nasopalatino no interior do canal incisivo.
Descrição microscópica:
Observa-se cavidade (lúmen cístico) revestido por epitélio com caraterísticas variadas sendo em áreas estratificado, em outras simples, pseudoestratificado ou mesmo ciliado. A cápsula, constituída por tecido conjuntivo fibroso denso, pode apresentar infiltrado inflamatório linfoplasmocitário e em área focal nota-se o feixe vásculo-nervoso (origem do canal incisivo).
Dados importantes para o diagnóstico:
- Cavidade cística;
- Tecido epitelial pode ser de vários tipos, desde pavimentoso estratificado, simples, pseudoestratificado, ciliado, colunar ou cúbico simples;
- Tecido conjuntivo fibroso denso (asterisco amarelo);
- Infiltrado linfoplasmocitário (asterisco vermelho) na cápsula fibrosa;
- Feixe vásculo- nervoso (tracejado preto).


Cisto não-odontogênico que se origina a partir de remanescentes do epitélio do ducto lacrimal. Cisto que ocorre em tecido mole (não intraósseo).
Descrição microscópica:
O cisto nasolabial é revestido por epitélio colunar pseudoestratificado, exibindo muitas vezes células caliciformes e ciliadas, em áreas observa-se tecido epitelial com poucas camadas cuboidais. A cápsula exibe tecido conjuntivo fibroso denso (asterisco vermelho) com vasos sanguíneos, infiltrado inflamatório crônico (asterisco amarelo), e tecido muscular estriado esquelético subjacente.
Dados importantes para diagnóstico:
- Tecido epitelial que pode ser variado (estratificado com poucas camadas, pseudoestratificado ciliado);
- Cápsula de tecido conjuntivo fibroso denso;
- Infiltrado inflamatório linfoplasmocitário.

Cisto de desenvolvimento que apresenta características clínicas e histológicas distintas dos demais cistos odontogênicos.
Descrição microscópica:
Os cistos epidermoides são revestidos por epitélio estratificado pavimentoso ceratinizado com uma camada granulosa proeminente e uma cápsula de tecido conjuntivo fibroso denso. No interior da cavidade cística pode-se evidenciar lâminas de ceratina descamadas.
Dados importantes para diagnóstico:
- Cavidade cística;
- Tecido epitelial estratificado pavimentoso ceratinizado;
- Cápsula de tecido conjuntivo fibroso denso;
- Cavidade (lúmen) com presença de ceratina;
- Os anexos cutâneos que podem aparecer fazem parte da pele e não tem relação com a parede do cisto.


