Conceito: Neoplasia é uma massa anormal de tecido cuja proliferação excede e não está coordenado ao crescimento dos tecidos normais e que persiste mesmo cessada a causa que a provocou.
Nesta aula estudaremos diferentes tipos de neoplasias.
Características macroscópicas - Apresenta-se com crescimento lento e expansivo, assintomático, limites definidos e mucosa lisa e íntegra.
Características Microscópicas - Apresenta-se encapsulada, células semelhantes às de origem, mitoses raras, relação núcleo/citoplasma normal.
Características macroscópicas - Crescimento rápido, agressivo, sem limites definidos.
Características Microscópicas - Pleomorfismo celular, pouco diferenciada, mitose frequentes e atípicas, hipercromatismo das células, relação núcleo/citoplasma alterada, invasão dos tecidos subjacentes.
Tabela: Nomenclatura dos tumores de acordo com o tecido de origem e comportamento.
| TECIDO DE ORIGEM | BENIGNOS | MALIGNOS |
|---|---|---|
| EPITÉLIO | Papiloma | Carcinoma |
| GLANDULA | Adenoma | Adenocarcinoma |
| FIBROBLASTO | Fibroma | Fibrossarcoma |
| ADIPÓCITOS | Lipoma | Lipossarcoma |
| VASOS | Hemangioma Linfangioma |
Angiossarcoma |
| OSTEOBLASTO | Osteoma | Osteossarcoma |
| CARTILAGEM | Condroma | Condrossarcoma |
| TECIDO HEMATOPOIÉTICO | - | Linfoma Leucemia |
Tumor benigno do epitélio de revestimento estratificado escamoso.
Descrição microscópica:
Tecido epitelial com projeções digitiformes exofíticas e superfície hiperceratinizada. No tecido epitelial podem ser evidenciadas células com núcleo picnótico e citoplasma claro identificadas como coilócitos (célula infectada por vírus). O tecido conjuntivo faz projeções afiladas que acompanham o epitélio e exibe vasos, arteríolas e fibras colágenas.
Dados importantes para o diagnóstico:
- Observar tecido epitelial hiperplásico de aspecto exofítico e digitiforme;
- Superficie hiperceratinizada;
- Células com halo claro e núcleo picnótico (coilócitos) – setas amarelas.



Neoplasia benigna do tecido conjuntivo originaria dos fibroblastos.
Descrição microscópica:
Fragmento de mucosa revestido por epitélio estratificado pavimentoso ceratinizado. Na lâmina própria observa-se proliferação de fibroblastos e maior deposição de fibras colágenas dispostas aleatoriamente (fibras mais espessas, coradas, e desorganizadas em diferentes direções), que empurram o tecido não neoplásico adjacente (Seta X).
Dados importantes para diagnóstico:
- Exuberante deposição de fibras colágenas dispostas em várias direções;
- Fibras colágenas espessas.



Neoplasia benigna de adipócitos.
Descrição microscópica:
Tecido epitelial estratificado pavimentoso hiperceratinizada. Em profundidade nota-se a presença de adipócitos maduros, de tamanhos semelhantes entre si, arranjados em lóbulos separados por septos delicados de tecido conjuntivo fibroso. Cápsula fibrosa pode ser evidenciada circunscrevendo a lesão.
Dados importantes para diagnóstico:
- Adipócitos maduros, lobulares e semelhantes contornados por septos de tecido conjuntivo fibroso;
- Cápsula fibrosa contornando o tecido epitelial.


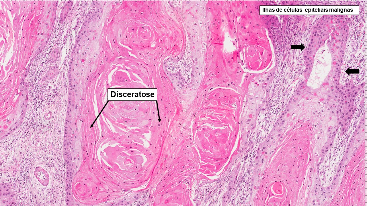
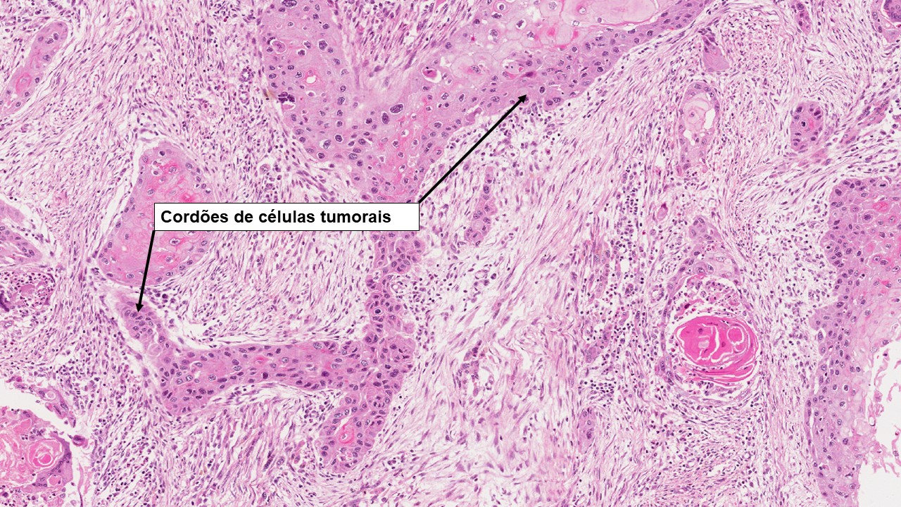
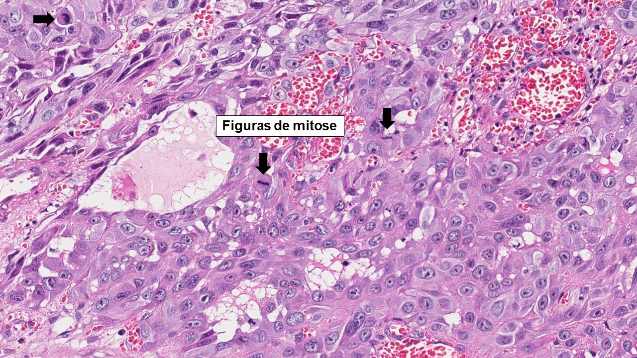
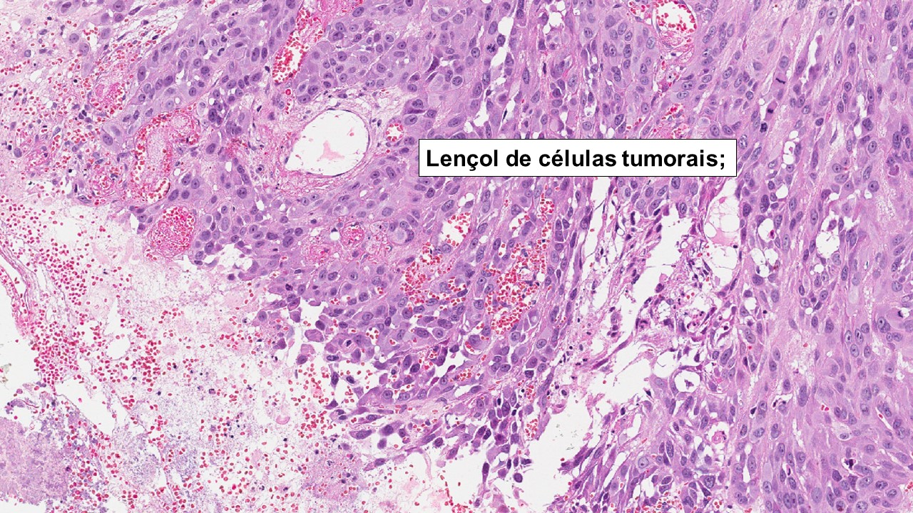
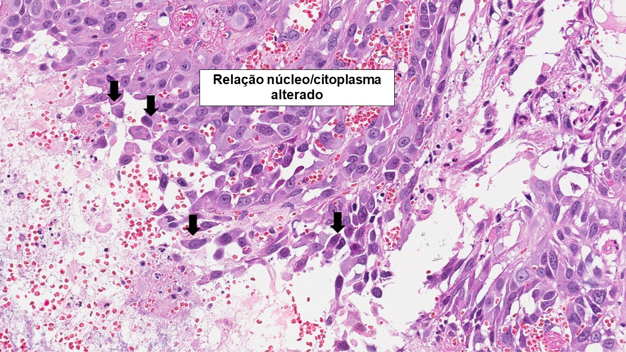
Neoplasia maligna de origem do epitélio de revestimento da cavidade bucal.
Descrição microscópica:
Neoplasia de origem do epitélio de revestimento que se caracteriza pela invasão do tecido conjuntivo por células epiteliais malignas. Nota-se proliferação das células epiteliais neoplásicas formando ilhas, lençóis e cordões que infiltram o tecido conjuntivo. As células apresentam pleomorfismo, alteração da relação núcleo/citoplasma (núcleos grandes), núcleos por vezes hipercromaticos, nucléolos evidentes. Inúmeras figuras de mitoses podem ser observadas. Algumas ilhas tumorais podem apresentar células com a ceratinização celular individual (disceratose) ou a formação de perólas de ceratina.
Dados importantes para diagnóstico:
- Invasão de células epiteliais malignas no tecido conjuntivo;
- Ilhas, lençóis e cordões de células tumorais malignas;
- Observar características das células neoplásicas malignas;
- Pleomorfismo celular e nuclear;
- Relação núcleo/citoplasma das células alterado;
- Hipercromatismo nuclear;
- Nucléolos evidentes;
- Mitoses atípicas;
- Perolas de ceratina;








