Ir para Página Inicial

9 Estomatites

Conceito:

Lesões de cunho inflamatório que acometem a cavidade oral.

9.1 Hiperplasia inflamatória

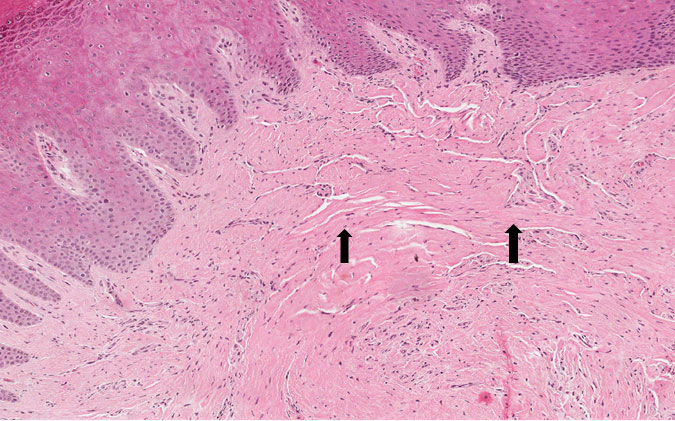
Descrição

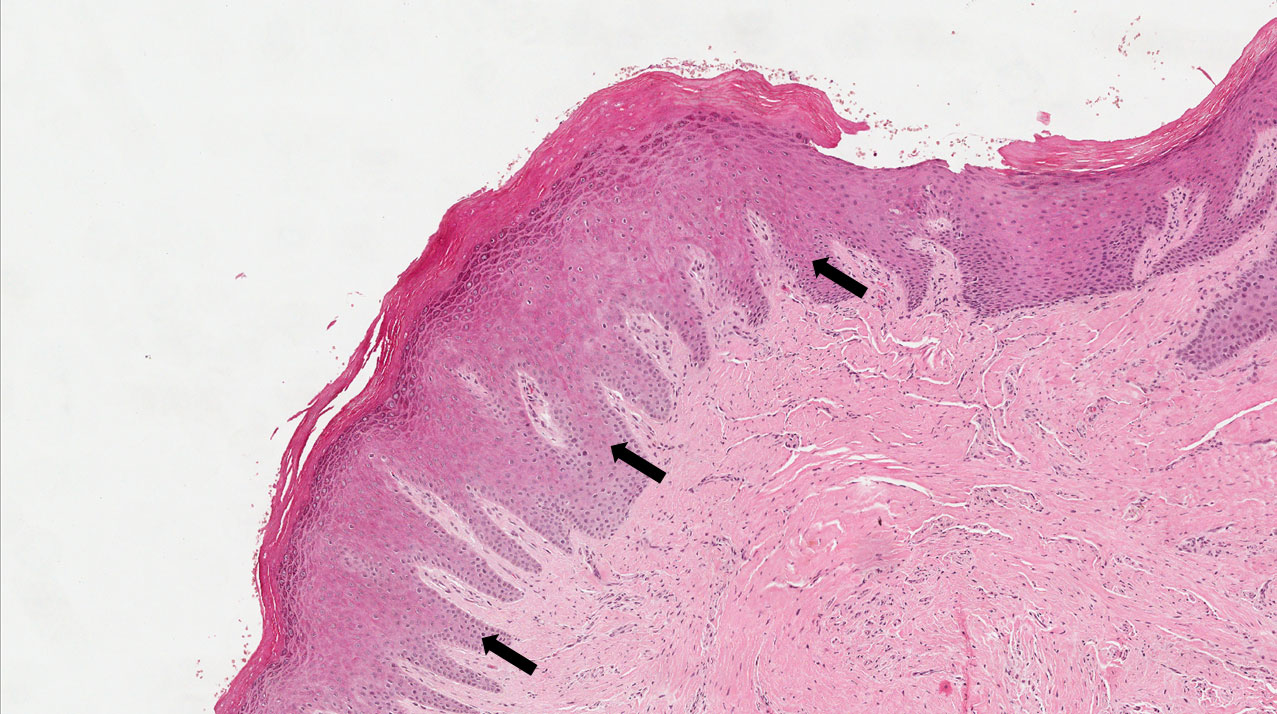
Fragmento de mucosa bucal revestida por tecido epitelial estratificado pavimentoso hiperceratinizado e hiperplasiado. Na lâmina própria, constituída por tecido conjuntivo denso observa-se exuberante deposição de fibras colágenas dispostas aleatoriamente. Focos de infiltrado inflamatório linfoplasmocitário completam o quadro.

Dados importantes para o diagnóstico

Observar o tecido epitelial hiperplasiado com cristas epiteliais alongadas (Figura 1). Infiltrado inflamatório e as áreas de fibroplasia (fibras colágenas espessas e dispersas no tecido conjuntivo — Figura 2).

Diagnóstico

Hiperplasia inflamatória.

Figura 1
Figura 2

9.2 Granuloma piogênico

Descrição

Fragmento de mucosa bucal revestida parcialmente por tecido epitelial. Em área nota-se ulceração (exposição do tecido conjuntivo) e membrana fibropurulenta (Figuras 3, 4 e 5). No tecido conjuntivo subjacente evidencia-se intensa angiogênese e vasos congestos. Permeando os vasos observa-se infiltrado inflamatório crônico (linfócitos e plasmócitos) e fibras colágenas (Figuras 4, 5 e 6).

Dados importantes para o diagnóstico

Observar que a lesão é parcialmente revestida por tecido epitelial (Figuras 3 e 4) e em áreas há perda epitelial e o conjuntivo está exposto (Figuras 3 e 5). Na superfície nesta região observa-se membrana fibrinopurulenta (asterisco amarelo — Figura 5). No tecido conjuntivo nota-se inúmeros vasos de neoformação (com células ovaladas na periféria- Figura 5 setas e Figura 6 asteriscos) muitos congestos (cheios de hemácias) e infiltrado inflamatório crônico.

Diagnóstico

Granuloma piogênico

Figura 3
Figura 4
Figura 5
Figura 6

9.3 Líquen plano

Descrição

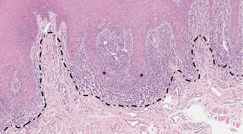
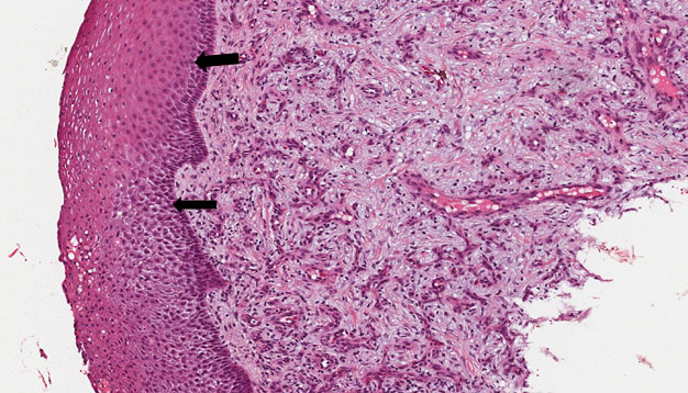
Fragmento de mucosa bucal revestida por tecido epitelial hiperplásico (Figura 7 seta) com focos de acantose e hiperceratose (Figura 7 — asterisco), perda de nitidez da camada basal (Figura 8 asterisco e Figura 9 seta) e infiltrado inflamatório mononuclear em banda justa epitelial (Figura 8 — delimitado pelo tracejado e Figura 9).

Dados importantes para o diagnóstico

Observar as projeções do tecido epitelial (“dentes em serra”), tecido hiperplásico e com hiperceratose (aumento da camada de ceratina), infiltrado inflamatório crônico predominantemente de linfócitos subjacente ao tecido epitelial e apagando (destruindo) a camada basal.

Diagnóstico

Líquen plano

Figura 7
Figura 8
Figura 9

9.4 Lesão periférica de células gigantes

Descrição

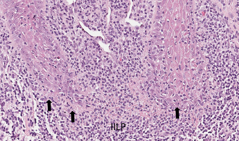
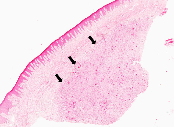
Fragmento de mucosa bucal revestida por epitélio estratificado pavimentoso em áreas hiperceratinizado e hiperplasiado (Figura 10). Na lâmina própria adjacente ao epitélio observamos uma faixa de tecido conjuntivo denso normal. Mais na profundidade nota-se a proliferação de fibroblastos volumosos, inúmeras células gigantes multinucleadas, fibroblastos volumosos e vasos(Figura 10 — setas). Hemorragia e deposição de hemossiderina na periferia da lesão completam o quadro.

Dados importantes para o diagnóstico

Fibroblastos jovens (Figura 11 — setas) proliferando no tecido conjuntivo, células gigantes multinucleadas (Figura 11 — asterisco) no tecido conjuntivo, vasos circundantes, extravasamento de hemácias, pigmentação por hemossiderina.

Diagnóstico

Lesão Periférica de Células Gigantes

Figura 10
Figura 11