Conceito: As lesões, que ocorrem no tecido ósseo do complexo maxilo-mandibular, são classificadas de acordo com sua origem em neoplásicas e não neoplásicas, podendo essas últimas, serem alterações metabólicas, anormalidades genéticas, lesões reacionais, lesões displásicas e condições inflamatórias.
Descrição microscópica:
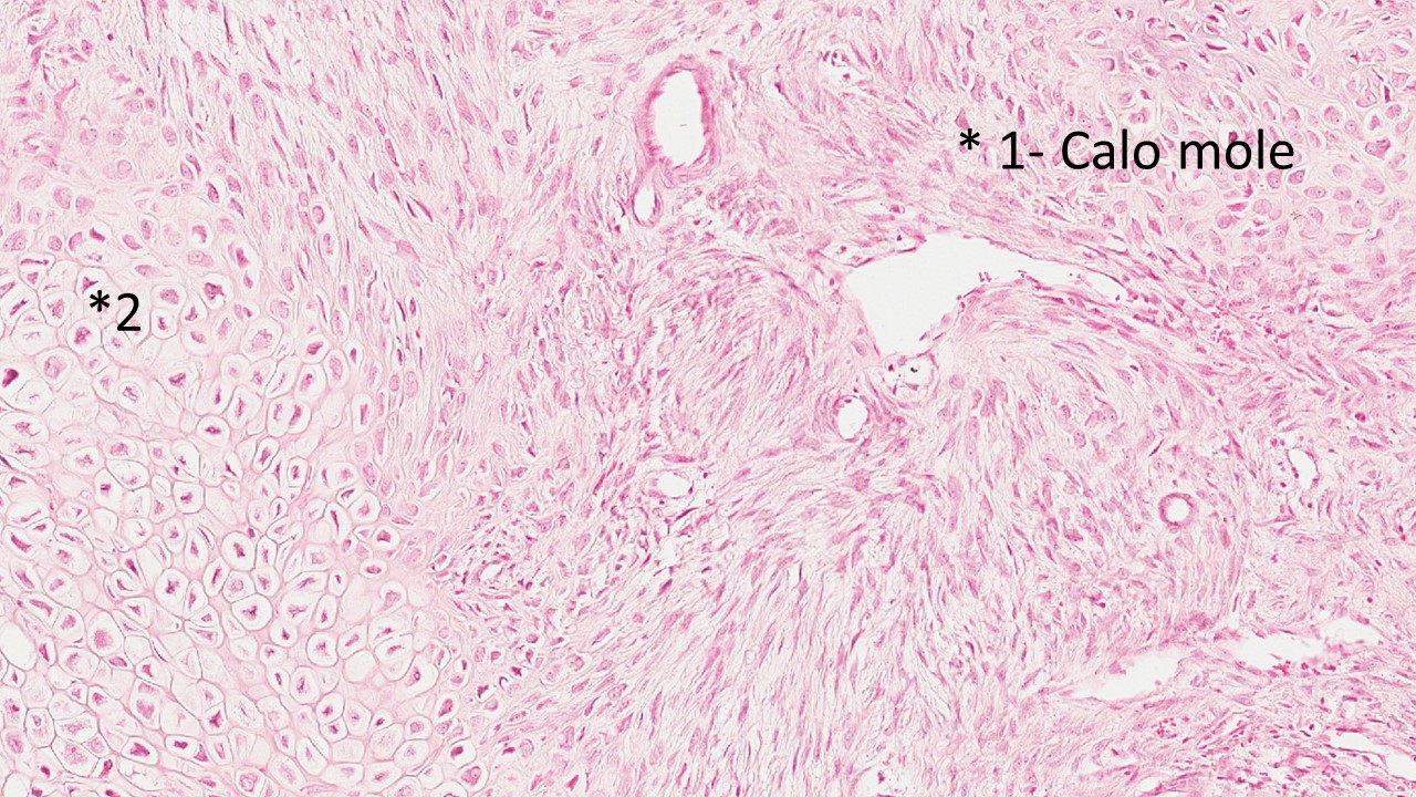
Lâmina de fratura óssea em fêmur de rato. Observar as duas extremidades da fratura (cotos) de tecido ósseo (*) separados por tecido fibrocartilaginoso. Nesta fase do reparo podemos observar três áreas: (1) proliferação de fibroblastos jovens com depósito de colágeno e angiogênese (calo mole), (2) condroblastos que produzem um tipo de cartilagem chamado de fibrocartilagem e (3) tecido ósseo imaturo que se caracteriza por trabéculas irregulares e sem canais de Havers. Essa área de fibrocartilagem e tecido ósseo imaturo compõem o chamado calo duro ou calo ósseo primário. Em áreas focais o osso do fêmur está sofrendo reabsorção. Nota-se nestes locais a presença de osteoclastos e lacunas de Howship na superfície óssea.
Dados importantes para o diagnóstico:
- Duas extremidades (cotos) da fratura;
- Calo mole;
- Calo duro/ósseo (calo ósseo primário);
- Observar osteoclastos reabsorvendo o tecido ósseo da fratura.





Conceito: Processo inflamatório crônico que ocorre nos espaços medulares ou nas superfícies corticais do osso. Essa inflamação se origina de infecções microbianas e gera necrose/sequestro do tecido ósseo por infarto (comprometimento vascular intra-ósseo).
Descrição microscópica:
Fragmento de tecido ósseo apresentando extensa necrose do componente medular e das trabéculas ósseas. O osso necrótico se caracteriza pela ausência de osteócitos no interior dos osteoplastos e canal de Havers vazios. Nota-se irregularidades na superfície das trabéculas ósseas necróticas (lacunas de Howship). Em área focal pode ser observado tecido de granulação (plasmócitos, linfócitos, fibroplasia e angiogênese) e acúmulo de piócitos (supuração).
Dados importantes para diagnóstico:
- Sequestro ósseo – pedaço de osso necrótico com espaços vazios dos osteoplastos e canal de Havers vazios;
- Lacunas de Howship;
- Tecido de granulação e supuração.


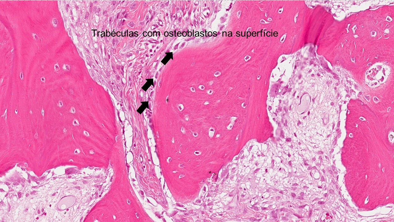
Conceito:A displasia fibrosa é uma proliferação intramedular benigna de trabéculas ósseas entremeadas por tecido fibroso (lesão fibro-óssea). Ocorrendo a substituição do tecido ósseo normal por uma proliferação de tecido conjuntivo. Sua etiologia tem sido atribuída a mutação do gene GNAS-1 afetando a proliferação e diferenciação dos pré-osteoblastos.
Descrição microscópica:
Lesão com padrão monótono de deposição de trabéculas ósseas neoformadas de formato irregular ou curvilíneo (lembrando caracteres Chineses) entremeadas com estroma de tecido conjuntivo frouxo com células fusiformes. As trabéculas ósseas não estão conectadas umas às outras e mostram osteóide periférico depositados em áreas com presença de osteoblastos e em áreas sem a presença de osteoblastos (setas).
Dados importantes para diagnóstico:
- Trabéculas com osteoblastos na superfície;
- Trabéculas sem osteoblastos na superfície;
- Tecido conjuntivo fibroso frouxo;
- Observar trabéculas ósseas neoformadas de formato irregular.



