Ir para Página Inicial

7 Patologia Periapical

Conceito:

As lesões periapicais inflamatórias são, na maioria das vezes decorrentes da necrose pulpar e contaminação bacteriana do canal radicular. Classificação:

Classificação:

  • Periodontite Apical aguda e crônica
  • Abcesso Apical agudo
  • Abcesso Apical crônico
  • Granuloma Apical
  • Cisto Apical
  • Cisto Apical Abscedado

Links:

7.1 Abscesso apical crônico

Conceito

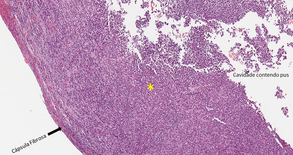
O abcesso apical crônico é caracterizado por uma coleção de pus em uma cavidade não pré-formada, contornado por tecido de granulação e cápsula fibrosa.

Descrição

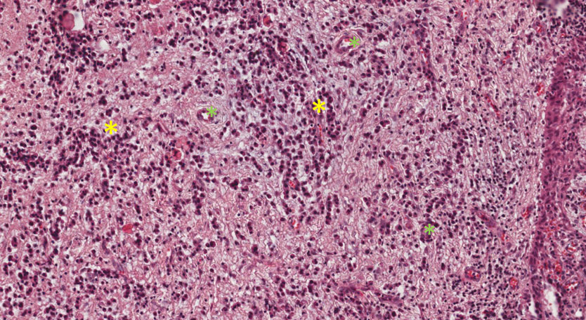
Cavidade (lúmen) contendo piócitos (pus), tecido conjuntivo contendo neutrófilos, infiltrado inflamatório linfoplasmocitário (asterisco amarelo) e vasos de neoformação, externamente cápsula fibrosa, caracterizando tecido de granulação. (Figura 1)

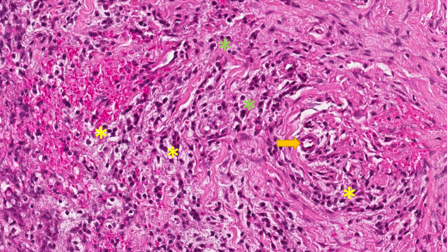
Dados importantes para o diagnóstico

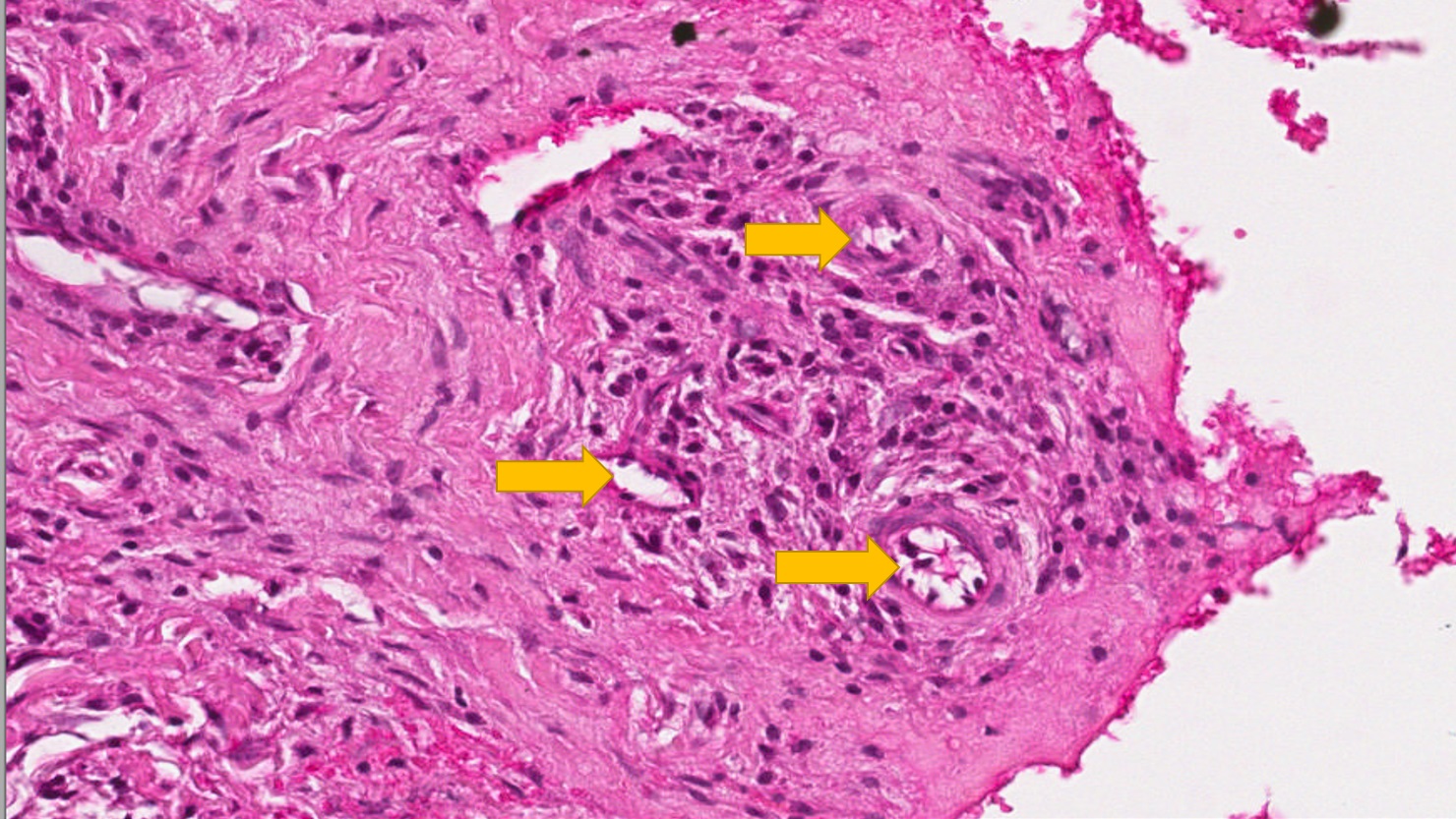
Observar a cavidade virtual, contendo pus (piócitos — Figura 2 — área tracejada em preto e setas), circundada por tecido de granulação apresentando infiltrado inflamatório contendo plasmócitos (asterisco amarelo-Figura 3) linfócitos (asterisco verde), neoformação vascular e fibroplasia (seta A — Figura 3). Na periferia observa-se uma maior deposição de fibras colágenas caracterizando uma cápsula fibrosa.

Diagnóstico

Abscesso Apical Crônico

Figura 1
Figura 2
Figura 3

7.2 Granuloma Apical

Conceito

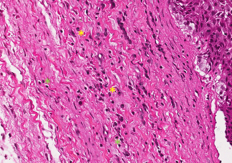
É um processo inflamatório crônico localizado no ápice de um dente que ocorre em decorrência da mortificação pulpar.

Descrição

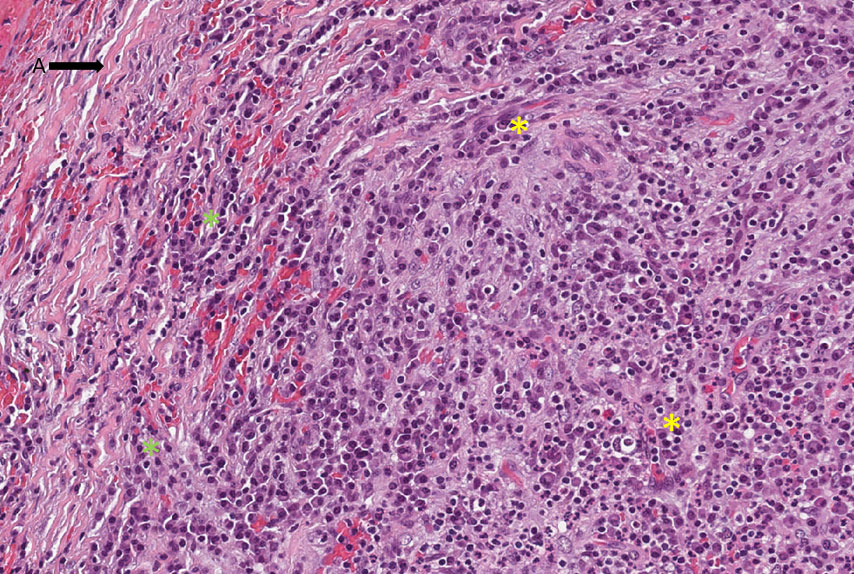
Tecido conjuntivo denso exibindo uma resposta crônica com infiltrado inflamatório predominantemente de linfócitos (asterisco amarelo) e plasmócitos (asterisco verde), vasos de neoformação (setas amarelas) e fibras colágenas. .

Figura 4
Figura 5
Figura 6

7.3 Cisto apical

Conceito

Cistos são definidos como cavidades patológicas, revestidas total ou parcialmente por epitélio, que contém no seu interior material líquido ou semi-fluído (células mortas, cristais de colesterol, líquido e proteínas). O cisto apical representa uma cavidade revestida por epitélio estratificado não ceratinizado circundado por uma cápsula fibrosa.

Descrição

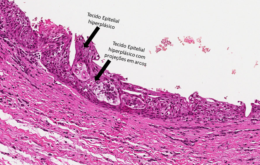
Cavidade revestida por tecido epitelial estratificado pavimentoso não ceratinizado. No centro observa-se o lúmen cístico com restos celulares no interior. Circundando o revestimento epitelial observa-se infiltrado inflamatório linfoplasmocitário, cápsula fibrosa (Figura 7) e cristais de colesterol (Figura 11).

Dados importantes para o diagnóstico

Observar a cavidade cística, o tecido epitelial revestindo esta cavidade (Figuras 8 e 9). O epitélio em áreas está hiperplasiado e fazendo projeções em arcos para o interior do tecido conjuntivo (Figuras 8 e 9). A cápsula fibrosa está envolvendo o epitélio e no seu interior observam-se células inflamatórias principalmente plasmócitos (asterisco amarelo — Figura 10) e linfócitos (asterisco verde — Figura 10). Em área focal pode-se evidenciar macrófagos espumosos (asterisco preto — Figura 8).

Diagnóstico

Cisto Apical

Figura 7
Figura 8
Figura 9
Figura 10
Figura 11

7.4 Cisto apical abscedado

Conceito

Cistos são definidos como cavidades patológicas, revestidas por epitélio pavimentoso estratificado não queratinizado, que contém no seu interior material liquido ou semi - fluído (células mortas, cristais de colesterol, líquido e proteínas). Cisto Apical Abscedado apresenta coleção de pus no seu interior (lúmen).

Descrição

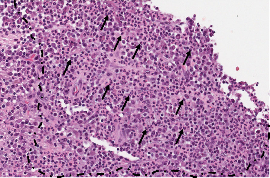
Os cortes histológicos revelam cavidade revestida por epitélio estratificado pavimentoso não ceratinizado. No interior da cavidade e em contato com o epitélio observa-se a supuração (presença de piócitos). Presença de infiltrado inflamatório linfoplasmocitário, vasos de neoformação e cápsula fibrosa na periferia da lesão. Caracterizando tecido de granulação. (Figura 12)

Dados importantes para o diagnóstico

Observar a cavidade (lúmen) (Figura 12) contendo piócitos (pus) circundada por tecido epitelial (Figura 13), linfócitos e plasmócitos (asterisco amarelo – Figura 14) no tecido conjuntivo, e a cápsula fibrosa onde observamos também angiogênese (asterisco verde – Figura 14).

Diagnóstico

Cisto Abscedado

Figura 12
Figura 13
Figura 14