Conceito: Inflamação crônica caracterizada por formação de granulomas. O granuloma representa um agrupamento de macrófagos que tentam circunscrever o agente etiológico evitando que a reação atinja os tecidos sadios circundantes assim como se dissemine. No granuloma epitelióide, as células responsáveis por circunscrever o dano são os macrófagos epitelióides.
Classificação: Nesta aula vamos estudar as degenerações com maior relevância para o cirurgião dentista.
Doença infecciosa crônica causada pela Mycobacterium tuberculosis.
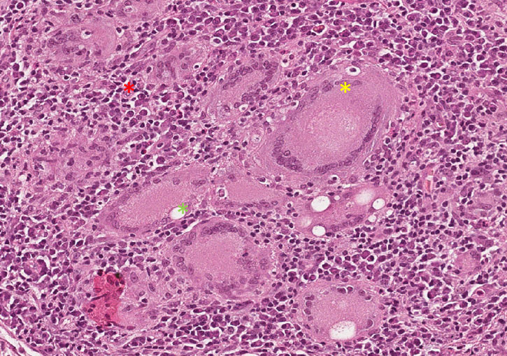
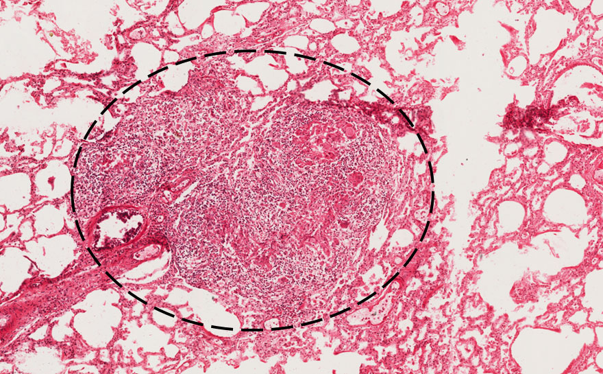
Fragmento de tecido pulmonar no qual parte da arquitetura alveolar é preservada enquanto em algumas regiões demonstram a formação de granulomas epitelióides caseosos. Na porção superior observa-se um granuloma extenso apresentando áreas de necrose caseosa central (material amorfo com perda de seletividade tintorial), entremeada por macrófagos epitelióides (núcleo claro e mais alongado, semelhante a morfologia de uma célula epitelial), linfócitos e células gigantes do tipo Langhans (asteriscos amarelos), circundadas por fibroplasia. Na porção dos alvéolos mais preservada também se nota a presença de um granuloma menor sem necrose central, mas apresentando os outros componentes.
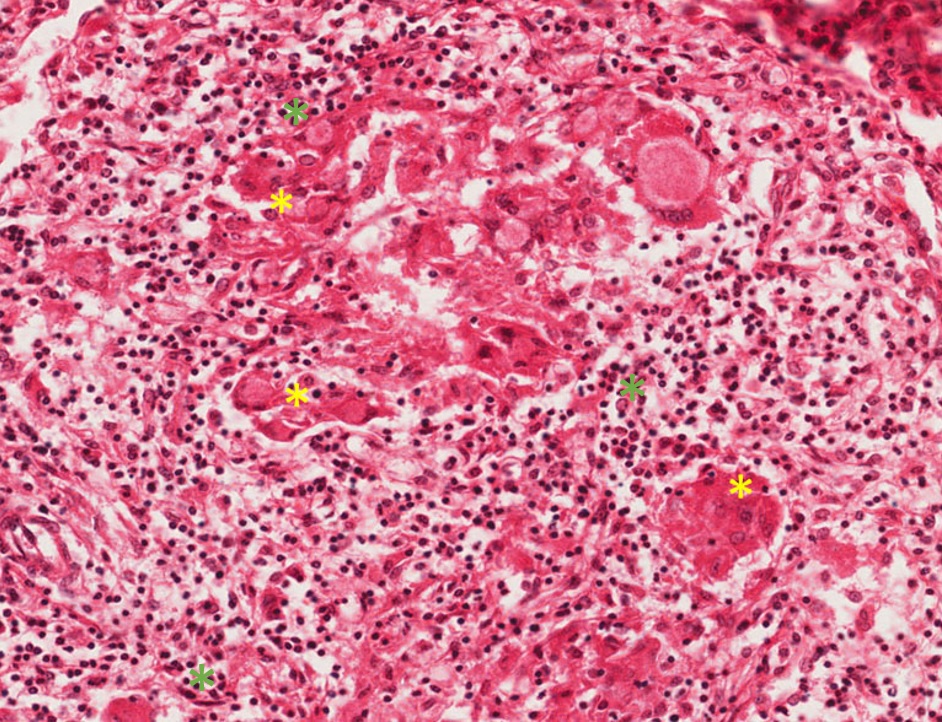
Observar a formação dos granulomas compostos por macrófagos epitelióides, células gigantes do tipo Langhans (asteriscos amarelos), linfócitos (asteriscos verdes) e fibroplasia.
Tuberculose
Infecção fúngica profunda, ocasionada pelo organismo Paracoccidioides brasiliensis.
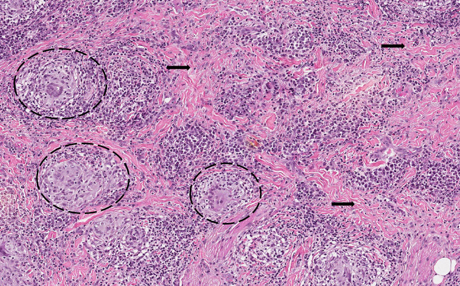
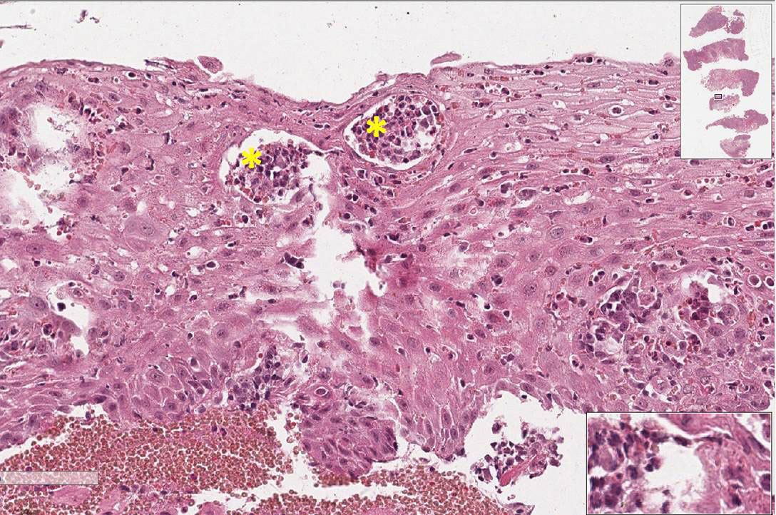
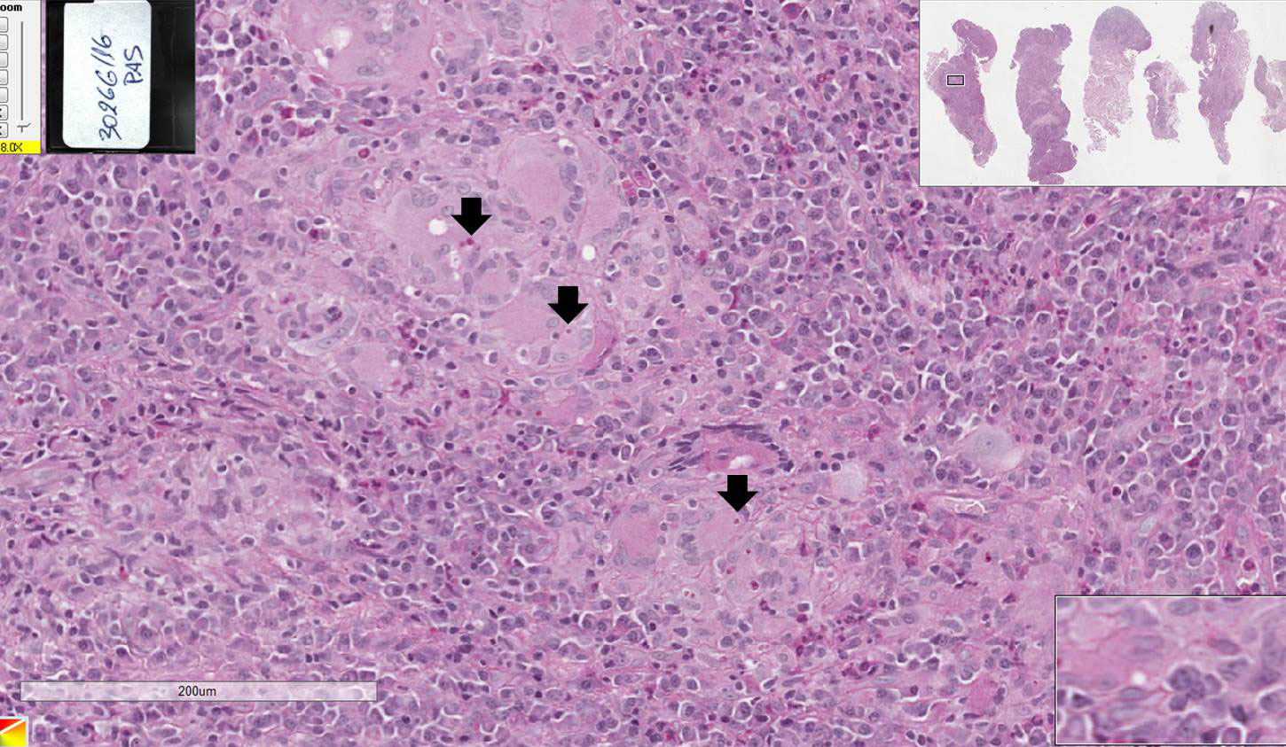
Fragmento de mucosa revestido por tecido epitelial estratificado pavimentoso ceratinizado, apresentando hiperplasia pseudoepiteliomatosa (sensação de que o epitélio “invade” o tecido conjuntivo) e áreas de micro abcessos (pequenas coleções de neutrófilos e piócitos superficiais). No tecido conjuntivo subjacente, observa-se a formação de granulomas (circunscrito pelo tracejado) que apresentam externamente fibroplasia (setas pretas), seguida por um colar de linfócitos (asterisco vermelho), e mais centralmente observam-se um aglomerado de macrófagos epitelióides (asterisco amarelo - núcleo claro e alongado e as células podem apresentar um arranjo em paliçada ou justapostas umas às outras). Entremeados as células do granuloma observam-se células gigantes do tipo Langhans. Em algumas áreas, principalmente no interior das células gigantes, é possível visualizar os fungos que se apresentam como um espaço negativo (branco) e forma geométrica redonda (asterisco verde).
Observar os granulomas compostos por um aglomerado de macrófagos epitelióides, colar de linfócitos e fibroplasia externa assim como a presença de células gigantes fagocitando os fungos. Os microabcessos e a hiperplasia pseudoepiteliomatosa são sugestivos, mas não específicos desta doença.
Paracoccidiodomicose


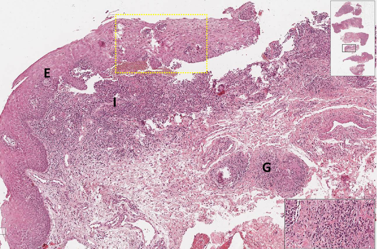
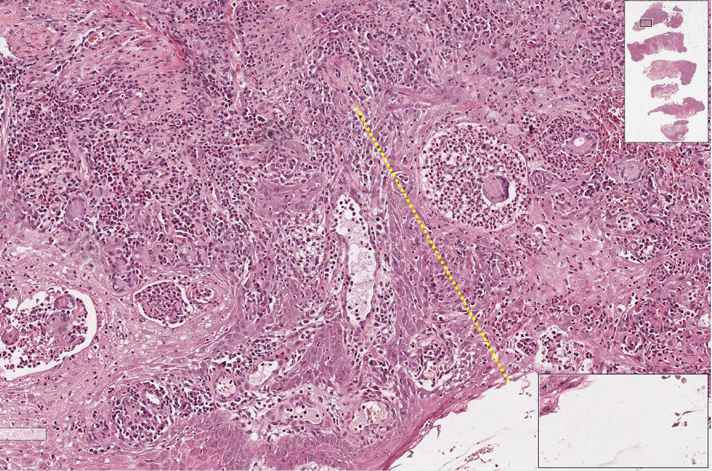
Fragmento de mucosa revestido por tecido epitelial estratificado pavimentoso paraceratinizado, apresentando hiperplasia pseudoepiteliomatosa (sensação de que o epitélio “invade” o tecido conjuntivo) e áreas de micro abcessos (pequenas coleções de neutrófilos e piócitos superficiais). No tecido conjuntivo subjacente, observa-se a formação de granulomas que apresentam externamente fibroplasia, seguida por um colar de linfócitos, e mais centralmente observam-se um aglomerado de macrófagos epitelióides (núcleo claro e alongado e as células podem apresentar um arranjo em paliçada ou justapostas umas às outras). Entremeados as células do granuloma observam-se células gigantes do tipo Langhans. Em algumas áreas, principalmente no interior das células gigantes, é possível visualizar os fungos que se apresentam como um espaço negativo (branco) e forma geométrica redonda.
Observar os granulomas compostos por um aglomerado de macrófagos epitelióides, colar de linfócitos e fibroplasia externa assim como a presença de células gigantes fagocitando os fungos. Os microabscessos e a hiperplasia pseudoepiteliomatosa são sugestivos, mas não específicos desta doença.
Paracoccidiodomicose
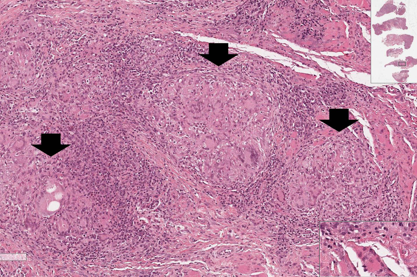
Os aspectos morfológicos observados (granulomas no tecido conjuntivo, hiperplasia pseudoepiteliomatosa e microabscessos no tecido epitelial) são os mesmos. Essa técnica pe utilizada para evidenciar o Paracoccidioides brasilienses, agente etiológico da paracoccidioidomicose, e confirmar o diagnóstico. Em lâminas coradas por HE nem sempre é possível evidenciar o espaço claro na célula gigante, o qual costuma sugerir presença deste microrganismo.