Conceito: Acúmulo ou formação de pigmentos nos tecidos.
Podem ser classificados em:
Mancha provocada pela inserção de partículas de amálgama no tecido conjuntivo.
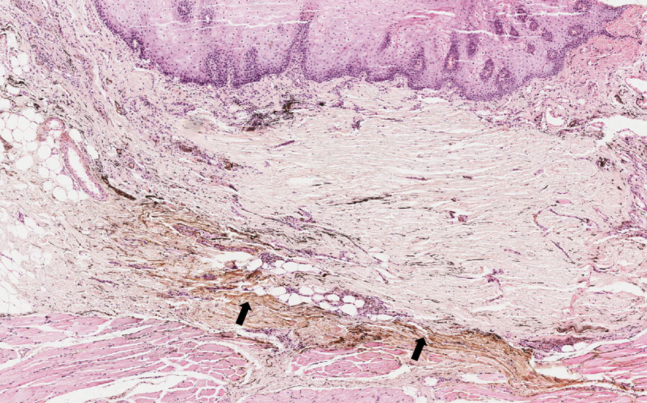
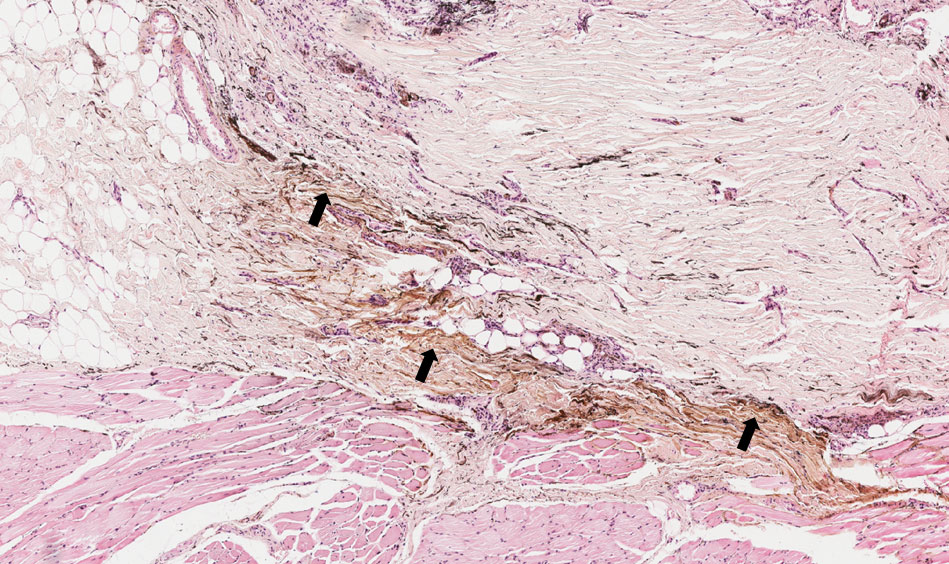
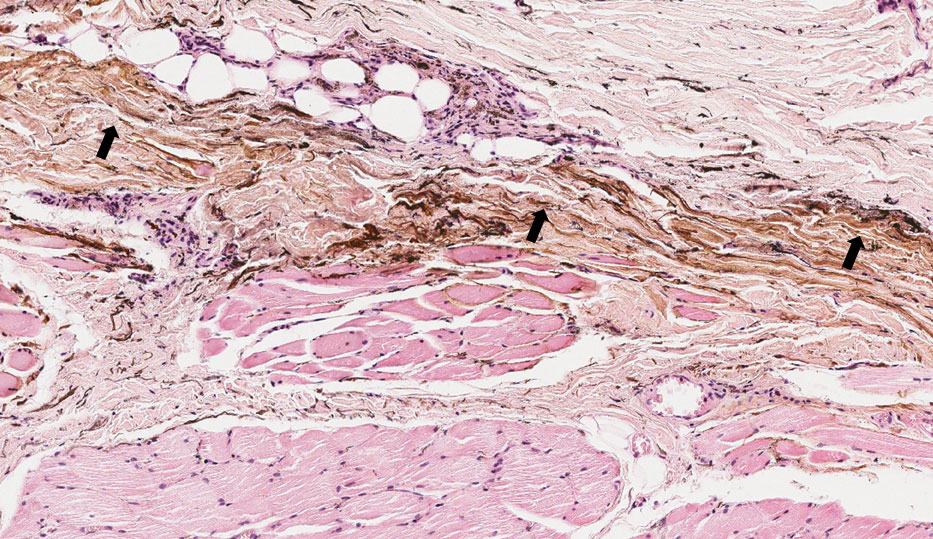
Fragmento de mucosa bucal revestida por epitélio estratificado pavimentoso ceratinizado, onde podemos observar no tecido conjuntivo fragmentos sólidos, escuros, acastanhados e dispersos entre as fibras caracterizando fragmentos de amalgama (setas). Os sais de prata do amálgama tem afinidade com as fibras reticulares, especialmente aquelas que circundam os nervos e vasos.
Retenção de fragmentos de pigmento exógeno – amálgama de forma dispersa e reticular, acompanhando as fibras colágenas do tecido conjuntivo (setas).
Tatuagem por amálgama.



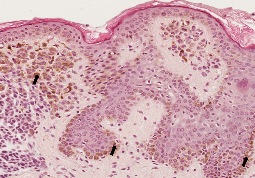
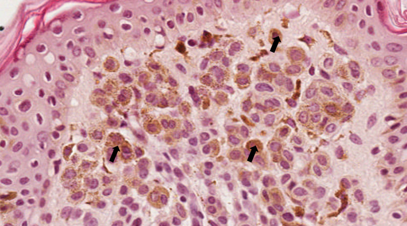
Proliferação benigna de células névicas.
Fragmento de mucosa bucal contendo no tecido epitelial proliferação de células pequenas, escuras e ovoides (células névicas). As células névicas superficiais tendem a estar organizadas em agregados pequenos e arredondados denominados tecas. Com núcleo pequeno e uniforme e uma quantidade moderada de citoplasma eosinófilico com limites celulares indistintos, algumas células névicas apresentam pigmento acastanhado no seu interior. Nesta lâmina, o acúmulo de células névicas está no tecido conjuntivo e no tecido epitelial sendo considerado nevo composto (setas).
Célula melânica, pigmentada na porção superficial da lesão podendo estar presente no tecido epitelial ou no tecido conjuntivo.
Nevo.


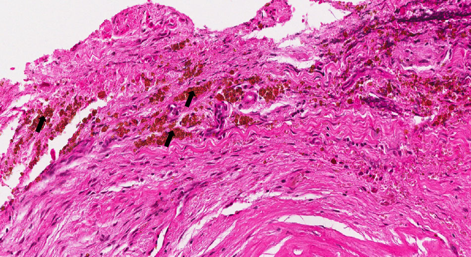
É um pigmento resultante da destruição da hemoglobina (pigmento que confere a cor vermelha às hemácias), sendo consequência do depósito em excesso de ferro.
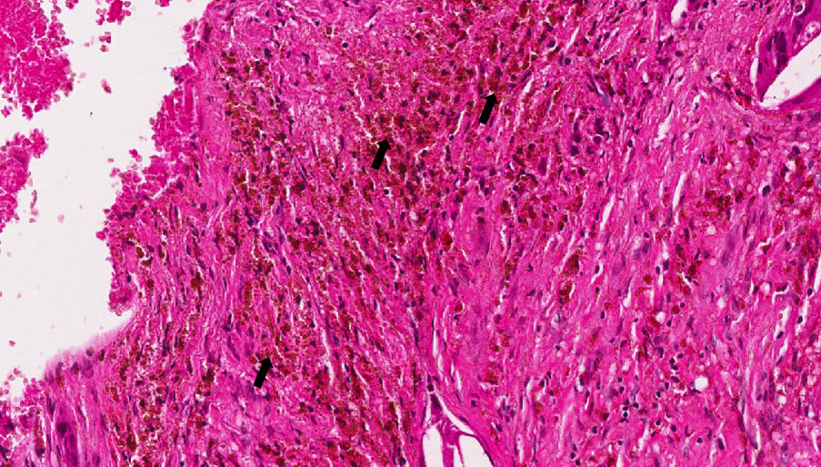
Fragmento de mucosa bucal no tecido conjuntivo podemos observar inúmeros cristais de colesterol, alguns com células gigantes justapostas. Em áreas focais, nota-se degeneração hialina do conjuntivo caracterizada por focos de aspecto róseo, homogêneo e vítreo. Focos de hemorragia e hemossiderina (setas) também podem ser notados.
Observar hemácias aglomeradas no tecido conjuntivo e pigmento de coloração acastanhada e birrifringentes.
Granuloma Periapical

