Conceito: Degenerações são lesões reversíveis decorrentes de alterações que resultam em acúmulo de substâncias no interior da célula. Geralmente, as degenerações são processos reversíveis quando o estímulo cessa, mas, em algumas situações, podem evoluir para a morte celular. O acúmulo de substâncias pode reduzir ou interromper a função celular.
Classificação: Nesta aula vamos estudar as degenerações com maior relevância para o cirurgião dentista.
É o acúmulo de água no meio intracelular (citoplasma).
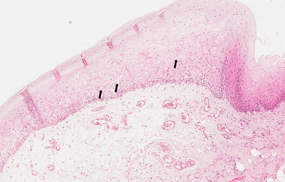
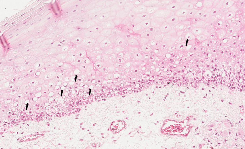
Fragmento de mucosa bucal revestido por tecido epitelial de revestimento estratificado pavimentoso, pode-se observar que as células do tecido epitelial estão aumentadas de volume (setas), com alteração de proporção citoplasma/núcleo, com o citoplasma claro, núcleo deslocado para a periferia, citoplasma com aspecto rendilhado caracterizando degeneração hidrópica. No tecido conjuntivo podemos observar fibras colágenas róseas, hiperemia, vasos de neoformação.
Hemangioma


Representa o acúmulo de proteínas podendo ser dentro das células (forma de pequenos grânulos acidófilos ou aglomerados irregulares) ou fora da célula (no tecido conjuntivo fibroso e no interior dos vasos).
O nome hialino é devido ao aspecto homogêneo, com certa transparência e brilho (lembrando vidro) e de cor rósea.
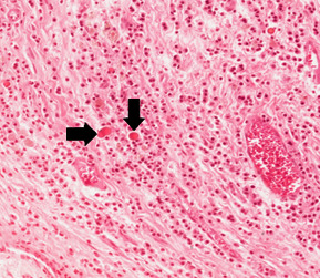
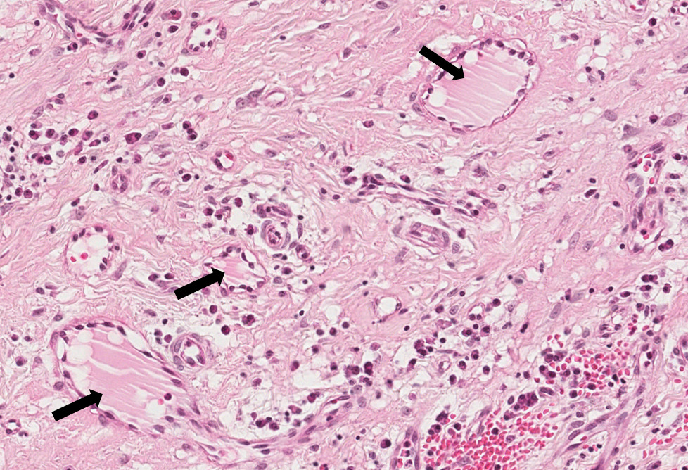
Observa-se uma área central onde encontram-se neutrófilos e piócitos caracterizando o pus. Em torno, circunscrevendo a supuração, observa-se tecido conjuntivo com processo inflamatório crônico e fibroplasia (cápsula). Na área de processo inflamatório crônico pode-se observar inúmeros linfócitos e plasmócitos. Alguns plasmócitos apresentam degeneração hialina (Corpúsculos de Russel-setas).
Abscesso Crônico


Fragmento de tecido conjuntivo exibindo inúmeros cristais de colesterol, alguns com células gigantes justapostas. Em áreas focais, nota-se hialinização do conjuntivo (setas) caracterizada por focos de aspecto róseo, homogêneo e vítreo. Focos de hemorragia e hemossiderina também podem ser notados.
Granuloma Periapical


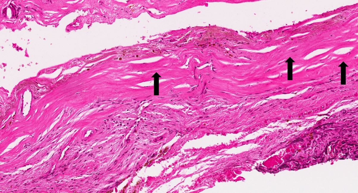
Fragmento de mucosa bucal revestido por tecido epitelial de revestimento estratificado pavimentoso, no tecido conjuntivo observa-se vasos com trombo no interior, obstruindo totalmente (trombo oclusivo) ou parcialmente a luz dos vasos (trombo mural), caracterizando trombose hialina do vaso. Trombos identificados pelas setas.
Granuloma Periapical

É o acumulo excessivo de gordura no citoplasma de células.
Granuloma Apical

Não é uma degeneração verdadeira pois é um evento pós-morte celular. Deposição de sais de cálcio e outros sais minerais nas mitocôndrias de células necróticas. A calcificação distrófica pode estar presente no tecido pulpar com alterações regressivas.
Corte transversal de um dente monorradicular apresentando dentina tubular, camada odontoblástica, polpa. Observar no interior do tecido conjuntivo pulpar a presença de calcificações patológicas (nódulos pulpares). Na periferia observa-se a degeneração dos odontoblastos ( atrofia reticular).
Degeneração Cálcica (Calcificação pulpar)
